Η ανευρυσματική δυσπλασία της φλέβας του Γαληνού ουσιαστικά αποτελεί την μόνη εμβρυϊκή αρτηριοφλεβώδη δυσπλασία. Αποτελείται από αρτηριοφλεβώδεις επικοινωνίες εντός της χοριοειδούς σχισμής που οδηγούν σε διαταραχή της ωρίμανσης του εν τω βάθει φλεβικού δικτύου. Αυτό έχει ως αποτέλεσμα την παραμονή της αρχέγονης μέσης φλέβας του πρόσθιου εγκέφαλου (εμβυϊκός πρόδρομος της φλέβας του Γαληνού) και την μη μετεξέλιξη της τελικά σε φλέβα του Γαληνού. Η διαταραχή αυτή έχει ως επακόλουθο την παραμονή εναλλακτικών εμβρυϊκών φλεβικών οδών παροχέτευσης για το χοριοειδές πλέγμα, το φακοειδή πυρήνα και το ραβδωτό σώμα.

Εμβρυολογία της ανευρυσματικής δυσπλασίας της φλέβας του Γαληνού:
Εμβρυολογία της ανευρυσματικής δυσπλασίας της φλέβας του Γαληνού:
Α. Η φλέβα αρχικά παροχετεύει το χοριοειδές πλέγμα (χοριοειδής φλέβα, μονήρες βέλος) και την κατανομή των φακοραβδωτών αρτηριών (θαλαμοραβδωτή φλέβα, διπλό βέλος).
Β. Στην φυσιολογική εξέλιξη της φλέβας του Γαληνού, όλη η εν τω βάθει φλεβική απροχέτευση καταλήγει στον ευθύ κόλπο.
C. Σπάνια, η μέση φλέβα του προσεγκεφάλου παραμένει και δεν ωριμάζει σε φλέβα του Γαληνού, με πολλαπλές φίστουλες να εκβάλλουν σε αυτήν. Τότε ενδέχεται το εν τω βάθει φλεβικό δίκτυο (χοριοειδείς και θαλαμοραβδωτές φλέβες) να παροχετεύονται προς εναλλακτικές οδούς ξεχωριστά.
D. Σπανιώτερα όμως, ενδέχεται η μέση φλέβα του προσεγκεφάλου να να διατηρεί την αρχική παροχέτευση των χοριοειδών πλεγμάτων (μονήρες βέλος) ενώ οι θαλαμοραβδωτές φλέβες παροχετεύονται εναλλακτικά.

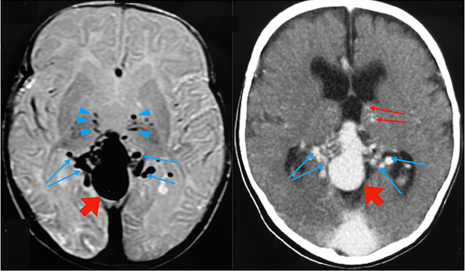
Η αρτηριοφλεβώδης επικοινωνία αποτελείται από πολλαπλές φίστουλες στη χοριοειδή σχισμή

Αρτηριοφλεβώδης επικοινωνία
Η χοριοειδής σχισμή έχει τριγωνικό σχήμα (μονήρες βέλος) και περιέχει τις ΑΦ φίστουλες στον χοριοειδή τύπο της ανευρυσματικής δυσπλασίας της φλέβας του Γαληνού. Η διατεταμένη αρχέγονη μέση φλέβα του προσεγκεφάλου (διπλό βέλος).

ή επί του τοιχώματος της φλέβας του Γαληνού που αρδεύονται από όλους τους χοριοειδείς αρτηριακούς κλάδους όπως την πρόσθια χοριοειδή και τις οπίσθιες χοριοειδείς αρτηρίες και από το χοριοειδή κλάδο της οπίσθιας περιμεσολοβίου αρτηρίας. Επίσης, υποεπενδυματικοί και θαλαμοδιατιτραίνοντες κλάδοι από την οπίσθια αναστομωτική και το Ρ1 τμήμα της οπίσθιας εγκεφαλικής αρτηρίας διατιτραίνουν την οπίσθια διάτρητο ουσία, ανέρχονται στο πλάγιο τοίχωμα της τρίτης κοιλιάς και φθάνουν στην χοριοειδή σχισμή συμμετέχοντας στην άρδευση της δυσπλασίας.

Τυπικό εύρημα είναι η παραμονή του αρχέγονου αρτηριακού δακτυλίου του μεταιχμιακού συστήματος (limbic arterial ring) ο οποίος συνδέει το φλοιώδη κλάδο αρχικά της πρόσθιας χοριοειδούς και μεταγενέστερα της οπίσθιας εγκεφαλικής αρτηρίας με την περιμεσολόβιο αρτηρία.

Limbic Arterial Ring
Αρχέγονος αρτηριακός δακτύλιος του μεταιχμιακού συστήματος (limbic arterial ring) (τριπλό βέλος).

Η δυσπλασία αποτελείται από πολλαπλές φίστουλες ταχείας ροής:

  • είτε εντός της χοριοειδούς σχισμής (χοριοειδής τύπος, choroidal type VGAM)
  • είτε στο τοίχωμα της μέσης φλέβας του πρόσθιου εγκέφαλου (τοιχωματικός τύπος, mural type VGAM), ενώ υπάρχουν και μικτοί τύποι.

Η φλεβική παροχέτευση γίνεται προς την εκτατική αμπούλα της πρόδρομου φλέβας του Γαληνού, ενώ τυπική είναι η απουσία διαπλάσεως ευθέως κόλπου, καθώς το σύστημα εκβάλλει δια μέσου ενός φλεβώδους κόλπου του δρέπανου (falcine sinus) προς το οπίσθιο τριτήμοριο του άνω οβελιαίου κόλπου και εκείθεν προς τον Ληνό του Ηρωφίλου. Ανατομικές παραλλαγές όπως η παραμονή ινιακού η επιχειλίου κόλπου είναι συχνές. Τυπικό χαρακτηριστικό της δυσπλασίας είναι η αναγνώριση της ανώμαλης εκβολής των θαλαμοραβδωτών φλεβών δια μέσου οπίσθιων θαλαμικών φλεβών προς υποκροτάφιο φλέβα, δημιουργώντας χαρακτηριστικό έψιλον “ε” σχήμα (epsilon shaped drainage) στην φλεβική παροχέτευση των εν τω βάθει πυρήνων.

Facine sinus and "epsilon" shaped venous drainage
A. Στην θέση του ευθέως κόλπου που απουσιάζει, υπάρχει ευμεγέθης κόλπος του δρεπάνου (falcine sinus) που παροχετεύεται προς το οπίσθιο τριτημόριο του άνω οβελιαίου κόλπου (μονήρες βέλος).
B. Ανώμαλη εκβολή των θαλαμοραβδωτών φλεβών δια μέσου οπίσθιων θαλαμικών φλεβών προς υποκροτάφιο φλέβα, δημιουργώντας χαρακτηριστικό έψιλον “ε” σχήμα (epsilon shaped drainage) στην φλεβική παροχέτευση των εν τω βάθει πυρήνων (αιχμές βελών).

Φυσική ιστορία

Συμφορητική καρδιακή ανεπάρκεια:

  • Στα νήπια η καρδιακή ανεπάρκεια ποτέ δεν είναι το κυρίαρχο σύμπτωμα.
  • Αντίθετα όταν η διάγνωση γίνεται στην νεογνική ηλικία, κυριαρχούν οι εκδηλώσεις της συμφορητικού τύπου καρδιακής ανεπάρκειας η οποία χωρίς αντιμετώπιση οδηγεί γρήγορα σε πολυοργανική ανεπάρκεια και τελικά εγκεφαλομαλακία. Η καρδιακή ανεπάρκεια συναντάται κυρίως στον χοριοειδή τύπο VGAM στα νεογνά. Πρέπει πάντα να γίνεται έλεγχος για συμπαρομαρτούσες καρδιακές δυσπλασίες (μεσοκολπική επικοινωνία, ανοικτός Βοτάλλειος πόρος).
    Ακτινογραφία θώρακος σε νεογνό
    Ακτινογραφία θώρακος σε νεογνό, που γεννήθηκε με συμφορητική καρδιακή ανεπάρκεια, εξαιτίας ανευρυσματικής δυσπλασίας της φλέβας του Γαληνού.
     
    Συμφορητική καρδιακή ανεπάρκεια.Φυσική ιστορία της ανευρυσματικής δυσπλασίας της φλέβας του Γαληνού.
    Συμφορητική καρδιακή ανεπάρκεια.
  • Εφόσον η διάγνωση γίνεται υπερηχογραφικά πριν την γέννηση και διαπιστωθεί διάταση των καρδιακών κοιλοτήτων, συνιστάται θεραπευτική διακοπή της κυήσεως καθώς ήδη συνυπάρχουν συστηματικές επιπτώσεις και τα παιδιά γενώνται με πολυοργανική ανεπάρκεια και εγκεφαλομαλακία.
  • Η φυγόκεντρη και ανεμπόδιστη φλεβική παροχέτευση της δυσπλασίας προς το σύστημα των φλεβωδών κόλπων, επιβαρύνει την καρδιακή φλεβική επιστροφή, προστατεύοντας αρχικά τον εγκέφαλο από παλινδρόμηση και συμφόρηση των εφκεφαλικών φλεβών. Σε αυτή την ηλικία, πρώιμη εμφάνιση νευρολογικών εκδηλώσεων όπως επιληπτικών κρίσεων, υποδηλώνει διάχυτη και έμμεση εγκεφαλική βλάβη με αρνητικές επιπτώσεις στην πρόγνωση και συνιστάται διακοπή κάθε θεραπείας λόγω της κακίστης προγνώσεως.
  • Οι σημαντικές αιμοδυναμικές μεταβολές αμέσως μετά την γένηση (απομάκρυνση του πλακούντα, σύγκλειση του ωοειδούς τρήματος, σύγκλειση του αρτηριακού πόρου και ελάττωση των πνευμονικών αγγειακών αντιστάσεων) και η προσαρμογή της κυκλοφορίας του εμβρύου στην εξωμήτριο ζωή επιβαρύνουν περαιτέρω την καρδιακή λειτουργία. Συνήθως ακολουθεί μία βραχεία περίοδος σταθεροποίησης και η κλινική εικόνα επιδεινώνεται εντός των τριών πρώτων ημερών, για να σταθεροποιηθεί εκ νέου και να βελτιωθεί με την κατάλληλη θεραπευτική αγωγή.

Μακροκρανία και υδροκέφαλος:

  • Είναι γνωστό ότι η ωρίμανση των αραχνοειδών σωματίων του οπίσθιου τριτημορίου του άνω οβελιαίου κόλπου που είναι υπεύθυνα για την απορρόφηση του ΕΝΥ, ολοκληρώνεται στην πρώιμη παιδική ηλικία. Στα νεογνά και τα νήπια όπου τα αραχνοειδή σωμάτια είναι ανώριμα, το ΕΝΥ απορροφάται μαζί με το διάμεσο υγρό από τις διαμυελικές φλέβες που διασχίζουν την λευκή ουσία, ο ρόλος των οποίων στην ομοιοστασία του ύδατος σε αυτήν την ηλικία είναι σημαντικός. Μόνο όταν ωριμάσουν και αρχίσουν να λειτουργούν τα αραχνοειδή σωμάτια, διαχωρίζεται η απορρόφηση του διάμεσου υγρού από το ΕΝΥ.
  • Η φλεβική παροχέτευση της VGAM δια μέσου του κόλπου του δρέπανου στο οπίσθιο τριτημόριο του άνω οβελιαίου κόλπου, οδηγεί σε διαταραχή της ωρίμανσης των αραχνοειδών σωματίων και προϊούσα αύξηση της φλεβικής πίεσης στο φλεβικό δίκτυο του εγκέφαλου που σε αυτή την ηλικία συγκλίνει προς την συμβολή του Ληνού του Ηρωφίλου.
  • Πρώιμο σημείο απόκλισης αποτελεί η σύλληψη των μέσων εγκεφαλικών φλεβών από τους σηραγγώδεις κόλπους, ώστε οι οφθαλμικές φλέβες και το πτερυγοειδές πλέγμα να αρχίσουν να λειτουργούν ως εναλλακτική φλεβική και υδρική διέξοδος.
    Cavernous sinus capture.
    Πρώιμο σημείο απόκλισης αποτελεί η σύλληψη των μέσων εγκεφαλικών φλεβών από τους σηραγγώδεις κόλπους (cavernous sinus capture), ώστε οι οφθαλμικές φλέβες και το πτερυγοειδές πλέγμα να αρχίσουν να λειτουργούν ως εναλλακτική φλεβική και υδρική διέξοδος (κόκκινα βέλη).
    Η μακροκρανία οδηγεί σε δυσωρίμανση του σκελετού της βάσεως του κρανίου με προοδευτική στένωση των σφαγιτιδικών τρημάτων και των σφαγιτιδικών βολβών (μπλέ βέλη).
  • Η διαταραχή απορρόφησης και σταδιακή κατακράτηση του ενδογενούς και εξωγενούς (ΕΝΥ) υγρού, οδηγεί προοδευτικά σε μακροκρανία, με αύξηση της περιμέτρου του κρανίου (εφόσον οι πηγές και ραφές παραμένουν ανοικτές), με ήπια διεύρυνση των κοιλιών και των περιαγγειακών χώρων.
    Εξέλιξη της μακροκρανίας
    Εξέλιξη της μακροκρανίας σε παιδί με ανευρυσματική δυσπλασία της φλέβας του Γαληνού.
  • Η απορρόφηση του διάμεσου υγρού συνεχίζει να γίνεται από τις μυελικές φλέβες λόγω της φυγόκεντρης βαθμίδωσης της πιέσεως από τις κοιλίες προς το φλοιό. Αντενδείκνυται η τοποθέτηση εξωτερικής παροχετεύσεως των κοιλιών, διότι αναστρέφει αυτή τη βαθμίδωση (χωρίς να θεραπεύει την υποκείμενη αιτία που είναι η φλεβική συμφόρηση), και δημιουργεί τροφικού τύπου διαταραχές με αποτέλεσμα κοιλιομεγαλία εξαιτίας υποεπενδυματικής ατροφίας. Επίσης μπορεί να δημιουργήσει μεγάλα υποσκληρίδια αιματώματα.
    Παδί με ανευρισματική δυσπλασία της φλέβας του Γαληνού
    Σε παιδί με ανευρυσματική δυσπλασία της φλέβας του Γαληνού με μακροκρανία, αμφοτερόπλευρα ευμεγέθη υποσκληρίδια αιματώματα μετά από παροχέτευση του κοιλιακού συστήματος.
  • Η επιδείνωση της μακροκρανίας οδηγεί σε δυσωρίμανση του σκελετού της βάσεως του κρανίου με προοδευτική στένωση των σφαγιτιδικών τρημάτων.
  • Η στένωση των σφαγιτιδικών τρημάτων, σε συνδυασμό με τη συγκλίνουσα προς τα πίσω (Ληνός του Ηρωφίλου) φλεβική παροχέτευση του νεογνού,
    • επιδεινώνει την παλινδρόμηση σε εγκεφαλικές και μυελικές φλέβες,
    • αυξάνει την φλεβική υπέρταση,
    • ελαττώνει την απορρόφηση του διάμεσου υγρού και
    • αυξάνει την ενδοκράνια πίεση με πρόκληση υδροκεφάλου.
  • Η μακροκρανία όμως δεν εξελίσσεται σε υδροκέφαλο εάν στο μεταξύ συμβεί σύλληψη των επιπολής μέσων εγκεφαλικών φλεβών από το χαμηλής πιέσεως σύστημα των σηραγγωδών κόλπων, οπότε προσφέρεται μια εναλλακτική οδός φλεβικής και υδρικής αποσυμφόρησης και σταθεροποιούνται τα φαινόμενα που προκαλούν την αύξηση της κρανιακής περιμέτρου.
  • Πρέπει να σημειωθεί ότι η απουσία μακροκρανίας με διάταση του κοιλιακού συστήματος είναι ανησυχητικό σημείο διότι υποδηλώνει ατροφία του παρεγχύματος και καθυστέρηση στην ανάπτυξη.

Καθυστέρηση της ανάπτυξης:

  • Εφόσον δεν αντιμετωπισθεί έγκαιρα η VGAM αποτελεί μέρος της φυσικής εξελίξεως της νόσου. Τα περισσότερα μακροκρανικά παιδία παρουσιάζουν κάποιο βαθμό καθυστέρησης, ο οποίος εφόσον είναι <20% (κατά την κλίμακα Denver), θεωρείται αναστρέψιμος μετά τη συμπλήρωση της θεραπείας.

Πρόγνωση

Εξέλιξη με βατούς σφαγιτιδικούς κόλπους:

  • Η πρόγνωση είναι γενικά καλή. Παρουσία μικρο-αποτιτανώσεων σε υποφλοιώδεις περιοχές και το ραβδωτό σώμα, είναι ενδεικτική προηγηθέντων επεισοδίων υδροδυναμικών και ισχαιμικών διαταραχών. Επιληπτικές κρίσεις και διανοητική καθυστέρηση αντανακλά την απώλεια του άριστου χρονικού θεραπευτικού παράθυρου.

Εξέλιξη με απόφραξη των σφαγιτιδικών κόλπων:

  • Η απόφραξη των σφαγιτιδικών βολβών, οφείλεται στην στένωση των σφαγιτιδικών τρημάτων λόγω διαταραχών της ωρίμανσης της βάσεως του κρανίου εξαιτίας της μακροκρανίας.
  • Η στένωση των σφαγιτιδικών βολβών προστατεύει την καρδιά (ελαττώνοντας την φλεβική επιστροφή), εκθέτει όμως τον εγκέφαλο στα αποτελέσματα της φλεβικής υπερτάσεως. Σύλληψη των μέσων εγκεφαλικών φλεβών, που γίνεται φανερή κλινικά με επίφλεβο στο πρόσωπο, αποτελεί ένδειξη ανακουφίσεως της φλεβικής συμφορήσεως του εγκεφάλου.
    Φυσική ιστορία της ανευρυσματικής δυσπλασίας της φλέβας του Γαληνού.
    Φυσική ιστορία της ανευρυσματικής δυσπλασίας της φλέβας του Γαληνού.
    Φλεβική συμφόρηση άνωθεν του σκηνιδίου.
  • Η ανεπάρκεια εναλλακτικών φλεβικών εξόδων (προς τους σηραγγώδεις και κάτω λιθοειδείς κόλπους) με φλοιώδη φλεβική παλινδρόμηση, αποτελεί ένδειξη επείγοντος εμβολισμού, ώστε να εξισορροπηθεί η φλεβική παροχέτευση της VGAM και του εγκεφάλου. Τα κλινικά αποτελέσματα του εμβολισμού πρέπει να είναι γρήγορα κλινικώς εμφανή, με
    • προοδευτική ελάττωση του επίφλεβου στο πρόσωπο και
    • φυσιολογική νευρολογική και διανοητική εξέλιξη.
  • Εφόσον δεν αντιμετωπισθεί έγκαιρα, τότε η μακροκρανία θα εξελιχθεί σε υδροκέφαλο με μικροαποτιτανώσεις, κρίσεις Ε, εστιακή νευρολογική σημειολογία και διανοητική καθυστέρηση. Εάν το άριστο χρονικό θεραπευτικό παράθυρο κλείσει, τότε τα παραπάνω συμπτώματα είναι μη αναστρέψιμα.
    Φυσική ιστορία της ανευρυσματικής δυσπλασίας της φλέβας του Γαληνού.
    Φυσική ιστορία της ανευρυσματικής δυσπλασίας της φλέβας του Γαληνού.
    Φλεβική συμφόρηση άνωθεν του σκηνιδίου.
  • Η φλεβική συμφόρηση και οι υδροδυναμικές μεταβολές του οπισθίου βόθρου (υπο-σκηνιδιακά), εκδηλώνονται με εικόνα τύπου Chiari (προβολή των αμυγδαλών κάτωθεν του ινιακού τρήματος) χωρίς ενδοκράνια υπέρταση. Η εικόνα αυτή είναι αναστρέψιμη και αποτελεί ένδειξη επείγοντος εμβολισμού.
    Φυσική ιστορία της ανευρυσματικής δυσπλασίας της φλέβας του Γαληνού.
    Φυσική ιστορία της ανευρυσματικής δυσπλασίας της φλέβας του Γαληνού.
    Φλεβική συμφόρηση υποσκηνιδιακά.

Αυτόματη θρόμβωση:

  • Σπάνια (5%) λόγω μηχανικής πίεσης επί των τροφοφόρων κλάδων από το σκηνιδιο, με θρόμβωση των εστενωμένων φλεβικών εξόδων. Μόνο το 50% των παιδιών θα είναι σε καλή νευρολογική κατάσταση. Συνήθως συμβαίνει αργά μετά από μη αναστρέψιμες εγκεφαλικές βλάβες.

Διάγνωση

Η προ-θεραπευτική εκτίμηση νεογνού με VGAM περιλαμβάνει:

  • κλινική εκτίμηση με καταγραφή όλων των πιθανών συμβαμάτων από τη γέννηση (π.χ. κρίσεις Ε),
  • έλεγχος νεφρικής και ηπατικής λειτουργίας,
  • U/S εγκεφάλου δια των πηγών για εστίες εγκεφαλομαλακίας
  • καλής ποιότητας MRI που θα αναδεικνύει όλες τις μορφολογικές παραμέτρους της δυσπλασίας και την πρόοδο της μυελίνωσης,
  • ΗΕΓ εφόσον το νεογνό βρίσκεται στην ΜΕΘ, διασωληνωμένο και σε καταστολή.
  • Ψηφιακή αγγειογραφία δεν ενδείκνυται παρά μόνο εάν είναι απαραίτητος ο ταυτόχρονος εμβολισμός της δυσπλασίας και πρέπει πάντα να γίνεται ταυτόχρονα με τη θεραπεία.
  • Ο ενδεδειγμένος χρόνος θεραπείας καθορίζεται με βάση το βαθμό στην κλίμακα νεογνικής αξιολόγησης (Neonatal evaluation Score, Bicetre Hospital ):
    Κλίμακα νεογνικής αξιολόγησης του Bicetre (Paris, France).
    Κλίμακα νεογνικής αξιολόγησης του Bicetre (Paris, France).

    • <8/21 απόφαση για αποχή από κάθε θεραπευτική προσπάθεια,
    • 8 έως 12/21 επείγων εμβολισμός και
    • >12/21 σχεδιασμός θεραπείας σε ηλικία 6 μηνών.
  • Η ακολουθούμενη τακτική είναι να κερδηθεί χρόνος σταθεροποιώντας την καρδιακή λειτουργία, με τακτική παρακολούθηση της νευρολογικής ανάπτυξης και της εξέλιξης της μακροκρανίας ώστε υπό καλύτερες ανατομικές συνθήκες να επιχειρηθεί ο εμβολισμός μετά την ηλικία των 6 μηνών.
  • Η παιδιατρική παρακολούθηση γίνεται με μηνιαίο προσδιορισμό της περιμέτρου του κρανίου και του σωματικού βάρους και με μαγνητική τομογραφία κάθε τρεις μήνες. Τυχόν ελάττωση της περιμέτρου του κρανίου είναι το πλέον ανησυχητικό σημείο και αντανακλά είτε απώλεια εγκεφαλικής ουσίας είτα πρόωρη σύγκλειση των ραφών.

Σκοπός και μέθοδος της θεραπείας

Ο στόχος της θεραπείας είναι η φυσιολογική ανάπτυξη του παιδιού, χωρίς διανοητική καθυστέρηση με ελάττωση ή/και εξαφάνιση της ΑΦ-επικοινωνίας. Η ενδεδειγμένη θεραπεία είναι ο εμβολισμός με αρτηριακή προσπέλαση με χρησιμοποίηση κυανοακρυλικής κόλλας (Ν-butyl cyanoacrylate).

Τα μεταλλικά σπειράματα, τα σωματίδια και τα αποσπώμενα μπαλόνια δεν είναι κατάλληλα εμβολικά υλικά για τη θεραπεία της VGAM. H φλεβική προσπέλαση με απόφραξη της εκτατικής αμπούλας του Γαληνού αντενδείκνυται, εφόσον μπορεί να αποφραχθούν χοριοειδείς φλέβες που πιθανόν εκβάλλουν στην εκτατική αμπούλα του Γαληνού, με συνέπεια ενδοκοιλιακή αιμορραγία με σοβαρά νευρολογικά επακόλουθα.

Αποτελέσματα

Εμβολισμός στην ηλικία των 6 μηνών επιτυγχάνει τα καλύτερα αποτελέσματα, με το μικρότερο δυνατό κίνδυνο καθυστέρησης της εγκεφαλικής ωρίμανσης. Τα αποτελέσματα της μεγαλύτερης σειράς (Lasjaunias P, Bicetre Hospital, Paris, 1981-2002) αναφέρονται σε σύνολο 317 ασθενών με VGAM εκ των οποίων εμβολίσθηκαν 216, με θνητότητα 10.6%. Πλήρης εξάλειξη της επικοινωνίας επετεύχθη στο 55%, ενώ στην μόνη περίπτωση όπου επιχειρήθηκε δια της φλεβικής προσπελάσεως απόφραξη της φλέβας του Γαληνού, το αποτέλεσμα ήταν ενδοκοιλιακή αιμορραγία με σοβαρή ημιπάρεση παρά την πλήρη μορφολογική ίαση. Μετά την ολοκλήρωση της θεραπείας 74% είχαν φυσιολογική ανάπτυξη, 15.6% μέτρια διανοητική καθυστέρηση και 10.4% βαρειά διανοητική καθυστέρηση.

Αρχικη
Ο Ιατρος
Βιογραφικό Ιατρού
Επιστημονικές Συνεργασίες
Ενδαγγειακες Επεμβασεις
Οξύ Ισχαιμικό Εγκεφαλικό
Υπάρχει θεραπεία για το εγκεφαλικό;
Πώς θα καταλάβω ότι έπαθα εγκεφαλικό;
Τι πρέπει να κάνω αμέσως μόλις υποψιαστώ εγκεφαλικό;
Υπάρχουν προειδοποιητικά σημεία για το εγκεφαλικό;
Τί είναι η Μηχανική Θρομβεκτομή;
Ιστορική εξέλιξη και επιστημονική τεκμηρίωση γιά την Μηχανική Θρομβεκτομή
Αγγειοπλαστική Αγγείων Τραχήλου
Στένωση καρωτίδων αρτηριών και εγκεφαλικό
Αγγειοπλαστική και Stenting καρωτιδικής στενώσεως
Αγγειπλαστική και Stenting συμπτωματικής στενώσεως έσω καρωτίδος με εγγύς σύστημα προστασίας (Σύστημα MOMA)
Ανευρύσματα Εγκεφάλου
Τι είναι το ανεύρυσμα εγκεφάλου;
Υπάρχουν προειδοποιητικά συμπτώματα - σημεία για τα ανευρύσματα εγκεφάλου;
Μη ραγέντα ανευρύσματα εγκεφάλου
Ραγέντα ανευρύσματα εγκεφάλου
Ενδαγγειακή θεραπεία των ενδοκρανιών ανευρυσμάτων εγκεφάλου
Σε τυχαίο έλεγχο βρέθηκε ένα ανεύρυσμα εγκεφάλου. Τι πρέπει να κάνω; Διαχέιριση των μη ραγέντων ανευρυσμάτων εγκεφάλου
Αρτηριοφλεβώδεις Δυσπλασίες Εγκεφάλου
Ενδαγγειακή θεραπεία αρτηριοφλεβώδων δυσπλασιών εγκεφάλου
Ενδαγγειακή θεραπεία μηνιγγικών αρτηριοφλεβώδων δυσπλασιών εγκεφάλου
Αγγειακές Παθήσεις Κεφαλής-Τραχήλου
Αγγειακές Παθήσεις Νωτιαίου Μυελού
Τι είναι οι αρτηριοφλεβώδεις επικοινωνίες του νωτιαίου μυελού
Τι είναι οι μηνιγγικές αρτηριοφλεβώδεις επικοινωνίες του νωτιαίου μυελού
Αρτηριοφλεβώδεις Επικοινωνίες παρά τη Νωτιαία Χορδή
Τι είναι οι αρτηριοφλεβώδεις επικοινωνίες της νώτιαιας χορδής;
Σπονδυλό - σπονδυλικές επικοινωνίες
Καρωτιδό - σηραγγώδεις επικοινωνίες
Εμβολισμός Όγκων
Εμβολισμός μηνιγγιωμάτων
Άλλοι ενδοκράνιοι όγκοι
Εξωκράνιοι όγκοι
Όγκοι σπονδυλικής στήλης
Τεχνική εμβολισμού των όγκων
Θρόμβωση Φλεβωδών Κόλπων Εγκεφάλου
Αγγειακές Παθήσεις σε Νεογνά - Παιδιά
Παθογένεια των αγγειακών νόσων
Ανευρισματική δυσπλασία της φλέβας του γαληνού
Δυσπλασία των φλεβωδών κόλπων της σκληράς μήνιγγας
Αρτηριοφλεβώδεις δυσπλασίες εγκεφάλου στα παιδιά
Αρτηριοφλεβώδεις φίστουλες σε παιδιά
Φλεβικό αγγείωμα ή αναπτυξιακού τύπου φλεβική ανωμαλία
Φλεβικές δυσπλασίες ή σηραγγώδη αιμαγγειώματα (Cavernomas)
Σύνδρομο Phases
Περιστατικα
Ενημερωση
Ιατρικά Άρθρα
Ιατρικά Νέα
Συνέδρια
Επικοινωνια

Βιογραφικό Ιατρού

Ο ιατρός Γεώργιος Μαγκούφης MD, PhD είναι Επεμβατικός Ακτινολόγος με εξειδίκευση στην Επεμβατική Νευροακτινολογία..

Περισσότερα

Επικοινωνία

White Metropolitan Logo

Τ: 210 4809 887

Δ: Εθν. Μακαρίου 9 & Ελ. Βενιζέλου 1 Ν. Φάληρο