Θα δούμε τί είναι και πώς γίνεται η μηχανική θρομβεκτομή, μέσα από την αντιμετώπιση ενός πραγματικού περιστατικού από την ομάδα μας.
Ιστορικό: Πρόκειται γιά γυναίκα ηλικίας 87 ετών με επεισόδια παροξυσμικής κολπικής μαρμαρυγής, η οποία όταν ξύπνησε το πρωί, παρουσίασε δυσχέρεια στην ομιλία της. Οι συγγενείς ανέφεραν ότι τελευταία φορά που την είδαν καλά χωρίς συμπτώματα ήταν το πρωί στις 05:45. Την μετέφεραν αμέσως στο τμήμα επειγόντων περιστατικών του Metropolitan Hospital. Έφθασε στα ΤΕΠ του νοσοκομείου στις 08:30. Μετά την άφιξη στα ΤΕΠ η ασθενής επιδεινώθηκε με αδυναμία να μιλήσει και να κατανοήσει την ομιλία (καθολική αφασία) και πλήρη αδυναμία και αναισθησία της δεξιάς πλευράς του σώματος (χέρι και πόδι) και διαταραχή στην όραση (ημιανοψία). Το score βαρύτητας του εγκεφαλικού στην κλίμακα NIHSS ήταν 23 (πολύ βαρειά).
Λόγω του ιστορικού πρόσφατης γαστρορραγίας, υπήρχε αντένδειξη γιά ενδοφλέβια θρομβόλυση.
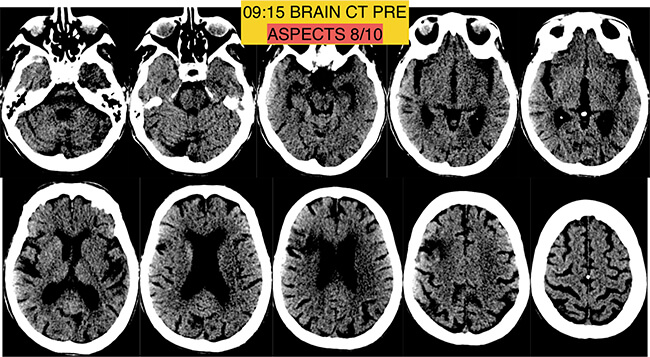
Αξονική τομογραφία-αγγειογραφία: Άμεσα μεταφέρθηκε στο ακτινολογικό και υποβλήθηκε σε αξονική τομογραφία.
Στην αρχική αξονική τομογραφία χωρίς σκιαγραφικό

δεν διαπιστώθηκε ακόμη απεικονιστικά εμφανής βλάβη στον εγκέφαλο (ήταν πολύ νωρίς γιά να απεικονισθεί ισχαιμικό έμφρακτο).
Ακολούθησε αξονική αγγειογραφία με ταχεία έγχυση σκιαγραφικού. Διαπιστώθηκε θρόμβος στον διχασμό της αριστερής έσω καρωτίδος (κόκκινα βέλη)

και καλή παράπλευρη κυκλοφορία που σημαίνει ότι υπήρχε βιώσιμο εγκεφαλικό παρέγχυμα στην κατανομή του αποφραγμένου αγγείου, το οποίο όμως ισχαιμεί (γι´ αυτό και τα βαρειά συμπτώματα της ασθενούς). Η ασθενής βρίσκεται σε άμεσο κίνδυνο να υποστεί μη αναστρέψιμη νέκρωση. Μεταφέρεται άμεσα στον αγγειογράφο.
Άφιξη στον αγγειογράφο: Παρουσία αναισθησιολόγου τοποθετήθηκαν δύο περιφερικές γραμμές σε φλέβες της ασθενούς, τοποθετήθηκαν ηλεκτρόδια καρδιογραφήματος στο στήθος γιά συνεχή καταγραφή και χορηγήθηκε ήπια καταστολή ώστε η ασθενής να αντιλαμβάνεται, να μπορεί να εκτελεί εντολές, να μην είναι διεγερτική αλλά συνεργάσιμη.
Παρακέντηση: Άμεσα γίνεται τοπική αναισθησία στην δεξιά βουβωνική χώρα. Ακολουθεί παρακέντηση της δεξιάς μηριαίας αρτηρίας με λεπτή βελόνα. Προωθήθηκε ένα λεπτό σύρμα μέσα στο αγγείο και τοποθετήθηκε ενδαρτηριακό θηκάρι στην μηριαία αρτηρία. Σε περίπτωση που είχε χορηγηθεί ενδοφλέβια θρομβόλυση, θα έπρεπε η μηριαία παρακέντηση να γίνει με σύστημα μικροπαρακέντησης υπό υπερηχογραφικό έλεγχο, ώστε να αποφευχθούν αιμορραγικές επιπλοκές στο σημείο της παρακεντήσεως. Αυτό το μηριαίο θηκάρι θα είναι η πύλη εισόδου των υλικών μας στο αρτηριακό δίκτυο γιά την συνέχεια.
Αγγειογραφία: Προωθούμε μέσα από το μηριαίο θηκάρι, σύρμα και ευρύ οδηγό καθετήρα που έχει αποφρακτικό μπαλόνι στο περιφερικό άκρο του. Καθετηριάζουμε εκλεκτικά την αριστερή κοινή καρωτίδα στην πλευρά της αποφράξεως. Κάνουμε μία λήψη αγγειογραφίας με έγχυση σκιαγραφικού γιά να δούμε τον καρωτιδικό διχασμό και το σημείο της απόφραξης.

Βλέπουμε ότι ο θρόμβος έχει μετακινηθεί και αποφράσσει πλήρως την αριστερή μέση εγκεφαλική αρτηρία στο Μ1 τμήμα της (παχύ κόκκινο βέλος). Διακρίνουμε τα παράπλευρα αγγεία που διατηρούν βιώσιμη την περιοχή του εγκεφάλου που κινδυνεύει να νεκρωθεί (λεπτά κόκκινα βέλη).
Θρομβεκτομή: Προωθούμε τον οδηγό καθετήρα με το αποφρακτικό μπαλόνι στο περιφερικό άκρο του ψηλά στην αριστερή έσω καρωτίδα (Βίντεο περιγραφής της μεθόδου). Εισάγουμε μέσα στον οδηγό καθετήρα ένα μικροκαθετήρα και ένα μικροσύρμα και τα προωθούμε μέσα από την έσω καρωτίδα μέχρι το σημείο της απόφραξης. Με το μικροσύρμα περνάμε διά μέσου του αποφράσσοντος θρόμβου περιφερικότερα μέσα στην αρτηρία, πέρα από το σημείο της αποφράξεως. Προωθούμε τον μικροκαθετήρα πάνω από το μικροσύρμα περιφερικότερα του αποφράσσοντος θρόμβου. Αφαιρούμε το μικροσύρμα. Εγχέουμε σκιαγραφικό από τον μικροκαθετήρα και βλέπουμε ότι είμαστε μέσα στο αποφραγμένο αγγείο, περιφερικότερα του θρόμβου.

Μέσα από τον μικροκαθετήρα προωθούμε το σύστημα της μηχανικής θρομβεκτομής, το stent-retriever. Μόλις το stent-retriever φθάσει στο άκρο του μικροκαθετήρα, με αργές κινήσεις αποσύρουμε τον μικροκαθετήρα ενώ ταυτόχρονα προωθούμε το stent-retriever το οποίο προοδευτικά εκπτύσσεται μέσα στο αποφραγμένο αγγείο. Το stent-retriever πρέπει να εκπτυχθεί κατά μήκος του αποφράσσοντος θρόμβου.

Περιμένουμε 5 λεπτά ώστε το πλέγμα του stent-retriever να βυθιστεί μέσα στον θρόμβο και το stent-retriever να αλληλεπιδράσει και να εκπτυχθεί σε όλο το μήκος του θρόμβου. Στην διάρκεια αυτή κάνουμε μία έγχυση από τον οδηγό καθετήρα γιά δούμε εάν έχει αποκατασταθεί η ροή μέσα στο αποφραγμένο αγγείο. Αυτό συμβαίνει όταν ο θρόμβος έχει απωθηθεί από το stent-retriever και έχει δημιουργηθεί βατός αυλός κατά μήκος της αποφράξεως.

Όταν δούμε αυτή την εικόνα της πρώτης επανασηραγγοποίησης, αυτό είναι καλό προγνωστικό σημείο γιά την συνέχεια και αποτελεί ένδειξη γιά επιτυχή αφαίρεση του θρόμβου στην συνέχεια.
Μετά την αναμονή 5 λεπτών, φουσκώνουμε το μπαλόνι του οδηγού καθετήρα στην υψηλή αυχενική μοίρα της έσω καρωτίδος και έτσι διακόπτουμε την ροή μέσα στο αγγείο. Στην συνέχεια με αρνητική πίεση κάνουμε συνεχή αναρρόφηση από τον οδηγό καθετήρα και αναστρέφουμε την ροή μέσα στην έσω καρωτίδα και την μέση εγκεφαλική αρτηρία. Ταυτόχρονα, με αργές και συνεχόμενες κινήσεις ανακτούμε προοδευτικά το σύστημα μικροκαθετήρα-stent retriever μέσα στον οδηγό καθετήρα. Η κίνηση αυτή γίνεται υπό συνεχή αρνητική αναρρόφηση από τον οδηγό καθετήρα με αναστροφή της αιματικής ροής στην έσω καρωτίδα, με σκοπό τυχόν τμήματα του θρόμβου που έχουν προσκολληθεί στο stent-retriever εάν αποσπασθούν, να αναρροφηθούν από τον οδηγό καθετήρα και να μην προκαλέσουν εμβολή σε άλλο φυσιολογικό κλάδο (παράδειγμα την προσθία εγκεφαλική αρτηρία).
Αφού το stent-retriever βγεί έξω από τον οδηγό καθετήρα, ξεπλένουμε τον οδηγό καθετήρα και επιθεωρούμε το stent-retriever και τον θρόμβο που έχει προσκοληθεί πάνω του. Αποκαθιστούμε την ροή στον οδηγό καθετήρα ξεφουσκώνοντας το μπαλόνι. Αγγειογραφούμε από τον οδηγό καθετήρα γιά να δούμε εάν αφαιρέθηκε όλος ο θρόμβος και εάν έχει αποκατασταθεί η ροή ή εάν υπάρχει υπολλειματικός θρόμβος. Στην δεύτερη περίπτωση πρέπει να γίνει δεύτερη προσπάθεια θρομβεκτομής με το ίδιο stent-retriever. Συνολικά μπορούμε να επιχειρήσουμε μέχρι και τρείς προσπάθειες θρομβεκτομής.
Στην προκείμενη περίπτωση της ασθενούς, ο θρόμβος έχει πλήρως αφαιρεθεί και η μέση εγκεφαλική αρτηρία έχει πλήρως επανασηραγγοποιηθεί με αποκατάσταση της αιματικής ροής προς τον εγκέφαλο (κόκκινος κύκλος).

Η όλη επέμβαση από την μηριαία παρακέντηση μέχρι την ανάκτηση του θρόμβου είχε διάρκεια 25 λεπτών.

Metropolitan Hospital


