Οι καρωτίδες αρτηρίες είναι δύο μεγάλα αγγεία στον τράχηλο που παρέχουν οξυγόνο και αίμα στα δύο ημισφαίρια του εγκεφάλου, δηλαδή τίς περιοχές εκείνες που είναι υπεύθυνες γιά την κίνηση και την αίσθηση του σώματος του προσώπου και γιά την ομιλία. Μπορεί να τις ψηλαφήσετε σε κάθε πλευρά του λαιμού, ακριβώς κάτω από την κάτω γνάθο.

Τι είναι η καρωτιδική νόσος;
Όπως συμβαίνει με τις στεφανιαίες αρτηρίες που αιματώνουν την καρδιά, έτσι και στις καρωτίδες εξαιτίας της εναπόθεσης λιπιδίων και χοληστερόλης, μπορεί να αναπτυχθεί αρτηριοσκλήρυνση και να σχηματισθεί αθηρωματική πλάκα στο εσωτερικό του αγγείου. Οι αθηρωματικές πλάκες αποτελούνται από λιπίδια, ασβέστιο, ινώδη στοιχεία και κυτταρικά συγκρίμματα που συσωρρεύονται κατά την διάρκεια μικροτραυματισμών από τους στροβιλισμούς της ροής του αίματος. Ο κύριος κίνδυνος από τη δημιουργία αυτής της πλάκας είναι η πιθανή ρήξη της με συνέπεια τη δημιουργία θρόμβου τοπικά που μπορεί να αποσπαστεί και μεταφερθεί με τη ροή του αίματος στον εγκέφαλο προκαλώντας εγκεφαλικό λόγω απόφραξης κάποιου αγγείου. Πιο σπάνια, μπορεί να υπάρξει σημαντική μείωση της παροχής αίματος στον εγκέφαλο λόγω σοβαρής στένωσης της έσω καρωτίδας με κίνδυνο να συμβεί πάλι εγκεφαλικό. Επιπλέον, η χρόνια μειωμένη παροχή αίματος λόγω καρωτιδικής στένωσης φαίνεται ότι συνδέεται με γνωσιακή έκπτωση. Οι ασταθείς πλάκες έχουν την τάση να ραγούν, με αποτέλεσμα το σχηματισμό θρόμβου με περιφερικό εμβολισμό αρτηριών του εγκεφάλου και εγκεφαλικό (Thammongkolchai et al, STROKE 2017).

Το ισχαιμικό εγκεφαλικό είναι παρόμοιο με το έμφραγμα των αγγείων της καρδιάς. Συμβαίνει όταν διακόπτεται η ροή αίματος σε κάποια περιοχή του εγκεφάλου. Τα συμπτώματα μπορεί να είναι παροδικά εφόσον η ροή αποκατασταθεί έγκαιρα ή μόνιμα εφόσον η διακοπή της ροής και η μειωμένη αιμάτωση προκαλέσει νέκρωση τμήματος του εγκεφάλου.
Ένα εγκεφαλικό μπορεί να είναι ισχαιμικό (83%) εξαιτίας:
- Αθηρωματικής νόσου
- σε σημαντική στένωση της καρωτίδος ή ρήξη της αθηρωματικής πλάκας της καρωτίδος με αποτέλεσμα να σχηματισθούν θρόμβοι και να αποφράξουν αρτηρίες του εγκεφάλου

- σε σημαντική στένωση της καρωτίδος ή ρήξη της αθηρωματικής πλάκας της καρωτίδος με αποτέλεσμα να σχηματισθούν θρόμβοι και να αποφράξουν αρτηρίες του εγκεφάλου
- Θρόμβου που θα αποσπασθεί από την καρδιά, όπως σε κολπική μαρμαρυγή ή καρδιομυοπάθεια
- Σκλήρυνσης και απόφραξης μικρών αρτηριών του εγκεφάλου
- Ή αιμορραγικό (17%)

- σε ενδοεγκεφαλικό αιμάτωμα (59%)
- ή υπαραχνοειδή αιμορραγία (41%)
Ποιοι είναι οι παράγοντες κινδύνου για καρωτιδική νόσο;
Είναι παρόμοιοι με τους παράγοντες κινδύνου γιά την στεφανιαία νόσο.
- Ηλικία
- Κάπνισμα
- Υπέρταση
- Υπερλιπιδαιμία (αυξημένα επίπεδα LDL κακής χοληστερόλης και τριγλυκεριδίων στο αίμα)
- Διαβήτης
- Παχυσαρκία
- Καθιστική ζωή
- Οικογενειακό ιστορικό (αρτηριοσκλήρυνσης, στεφανιαίας νόσου ή καρωτιδικής νόσου)
Άνδρες <75 ετών κινδυνεύουν περισσότερο από τις γυναίκες ίδιας ηλικίας.
Οι γυναίκες έχουν μεγαλύτερο κίνδυνο από άνδρες >75 ετών. Ασθενείς με στεφανιαία νόσο έχουν αυξημένο κίνδυνο γιά να παρουσιάσουν καρωτιδική νόσο.
Ποια είναι τα συμπτώματα της καρωτιδικής νόσου;

Μπορεί να μην υπάρχουν καθόλου συμπτώματα. Οι καρωτιδικές πλάκες αναπτύσσονται με την πάροδο του χρόνου χωρίς προειδοποιητικά συμπτώματα, μέχρι να υπάρξει ένα παροδικό ή μόνιμο εγκεφαλικό.

Σημεία εγκεφαλικού που οφείλεται σε καρωτιδική νόσο:
- Αιφνίδια απώλεια οράσεως από το ένα μάτι.
- Αδυναμία ή μούδιασμα στην μία πλευρά του προσώπου, στην μία πλευρά του σώματος ή σε ένα χέρι ή πόδι.
- Αιφνίδια δυσχέρεια στη βάδιση.
- Ζάλη ή/και σύγχυση.
- Δυσχέρεια στην ομιλία (αφασία).
- Διαταραχή στην μνήμη
Τι είναι το παροδικό ισχαιμικό εγκεφαλικό (ΤΙΑ)

Ένα παροδικό εγκεφαλικό (TIA, transient ischemic attack) συμβαίνει όταν σε μιά περιοχή του εγκεφάλου υπάρχει ελάττωση της ροής του αίματος ή όταν ένας θρόμβος προκαλεί παροδική απόφραξη σε μία εγκεφαλική αρτηρία. Ο ασθενής μπορεί να έχει τα ίδια συμπτώματα όπως στο μόνιμο εγκεφαλικό, ὄμως τα συμπτώματα διαρκούν μόνο από λίγα λεπτά μέχρι λίγες ώρες και στην συνέχεια υποστρέφουν.

Ένα παροδικό εγκεφαλικό είναι ιατρικό επείγον, επειδή δεν είναι δυνατό να προβλεφθεί εάν θα εξελιχθεί σε βαρύ και μόνιμο εγκεφαλικό, αλλά και επειδή ο ασθενής στη συνέχεια διατρέχει σοβαρά αυξημένο κίνδυνο για να πάθει μόνιμο εγκεφαλικό. Εάν εσείς ή κάποιος συγγενής σας αισθανθείτε κάποιο από τα παραπάνω συμπτώματα, αναζητήστε άμεσα βοήθεια. Η έγκαιρη θεραπεία μπορεί να προλάβει ένα μόνιμο εγκεφαλικό.
Έχει αποδειχθεί ότι εάν κάποιος υποστεί ένα παροδικό εγκεφαλικό, έχει 10πλάσιο κίνδυνο να υποστεί σοβαρό μόνιμο εγκεφαλικό.
Πως γίνεται η διάγνωση της καρωτιδικής νόσου;

Συνήθως τα συμπτώματα απουσιάζουν μέχρι να προκληθεί ένα παροδικό ή μόνιμο εγκεφαλικό. Γι´ αυτό το λόγο είναι σημαντικό κανείς να βλέπει τακτικά το γιατρό του και να υποβάλλεται σε περιοδικές εξετάσεις.
Ο γιατρός μπορεί να ακούσει με το στηθοσκόπιο φύσημα στις καρωτίδες που είναι αποτέλεσμα στροβιλώδους ροής εξαιτίας της στενώσεως. Αυτό το εύρημα μπορεί να είναι ένδειξη καρωτιδικής νόσου, χωρίς όμως να αποκλείεται η ύπαρξη σοβαρής στένωσης χωρίς να ανιχνεύεται φύσημα. Μερικοί ειδικοί πιστεύουν ότι το καρωτιδικό φύσημα είναι καλύτερο προγνωστικό σημείο από άλλους παράγοντες κίνδυνου γιά εγκεφαλικό.

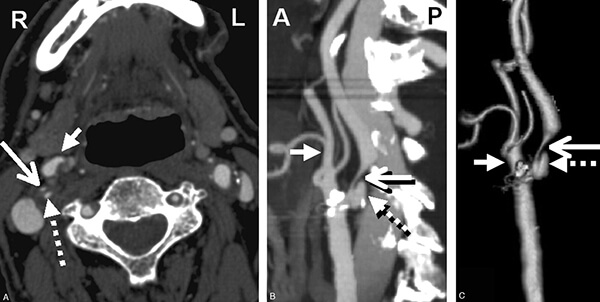
Μία απλή εξέταση γιά την διάγνωση της καρωτιδικής νόσου είναι το έγχρωμο doppler υπερηχογράφημα (triplex) των αγγείων του τραχήλου. Η ακρίβεια των αποτελεσμάτων της εξετάσεως αυτής εξαρτώνται από τον ιατρό που διενεργεί την εξέταση, ωστόσο στις περισσότερες περιπτώσεις είναι εφικτή η ασφαλής επιβεβαίωση της απουσίας σημαντικής καρωτιδικής νόσου. Ο ακτινολόγος ή εξειδικευμένος νευρολόγος που διενεργεί την εξέταση πρέπει να είναι έμπειρος και σε περίπτωση αμφιβολίας, να ζητείται επιβεβαίωση των αποτελεσμάτων με ψηφιακή αγγεογραφία.

Ο κίνδυνος γιά εγκεφαλικό δεν εξαρτάται μόνο από τον βαθμό της στενώσεως αλλά και από την μορφολογία της αθηρωματικής πλάκας. Μία ασταθής πλάκα είναι επιρρεπής σε ρήξη με σχηματισμό θρόμβου και επακόλουθο εμβολισμό, προκαλώντας ισχαιμικό εγκεφαλικό. Ασθενείς με ασταθή πλάκα χρειάζονται συνήθως περισσότερο επιθετική διαχείριση, ανεξάρτητα από τον βαθμό της στενώσεως.

Διάφορες μέθοδοι χρησιμοποιούνται γιά τον χαρακτηρισμό της μορφολογίας της αθηρωματικής πλάκας:
- Το υπερηχογράφημα είναι πολύ χρήσιμο εργαλείο γιά την εκτίμηση του βαθμού της στενώσεως και της μορφολογίας της καρωτιδικής πλάκας. Σε B-mode brightness ανάλογα με τον βαθμό της ηχογένειας (GSM, gray scale median score) καθορίζεται η ετρογένεια της πλάκας και διακρίνονται 4 τύποι (κριτήρια κατά Gray-Weale et al). Χαμηλό GSM score σχετίζεται με υψηλή περιεκτικότητα σε λιπίδια και αιμορραγία μέσα στο νεκρωτικό πυρήνα της πλάκας, άρα ασταθή πλάκα. Με χρησιμοποίηση σκιαγραφικού (μικρο-φυσσαλίδες) μπορεί να δεί κανείς νεο-αγγείωση της πλάκας. Επαναλαμβάνουμε ότι τα αποτελέσματα της εξετάσεως αυτής εξαρτώνται από τον ιατρό που διενεργεί την εξέταση και ότι μπορεί να δώσει συχνά ψευδώς θετικά αποτελέσματα.

- Η υψηλής ευκρίνειας μαγνητική τομογραφία χαρακτηρίζει επίσης την πλάκα και διακρίνει την ενδοπλακική αιμορραγία, παρουσία νεκρωτικού πυρήνα, εναπόθεση λιπιδίων και επεσβέστωση. Η ενδοπλακική αιμορραγία/νεο-αγγειογένεση είναι ο σημαντικότερος δείκτης αστάθειας της πλάκας και κινδύνου γιά εγκεφαλικό. Η μέθοδος αυτή απαιτεί περισσότερο χρόνο και η διενέργειά της είναι συχνά δυσχερής σε κλειστοφοβικούς ασθενείς.
- Η αξονική αγγειογραφία αντίθετα είναι γρήγορη εξέταση και ανιχνεύει εύκολα τις επασβεστώσεις. Ωστόσο δεν μπορεί να διακρίνει ανάμεσα στην εναπόθεση λιπιδίων και την ενδοπλακική αιμορρραγία, παρά μόνο σε μεγάλες πλάκες, ενώ ο ασθενής εκτίθεται σε ιοντίζουσα ακτινοβολία.

- Σπανιότερα η χρησιμοποίηση του διακρανιακού doppler μπορεί να δώσει πληροφορίες γιά μικρο-έμβολα (υψηλής έντασης παροδικά σήματα) που ανιχνεύονται στην ενδοκράνια κυκλοφορία εξαιτίας μιάς ασταθούς πλάκας με υπερκείμενο θρόμβο. Η ανίχνευση αυτών των μικροεμβόλων είναι ένας πολύ αξιόπιστος δείκτης αστάθειας της πλάκας, άρα και κινδύνου για εγκεφαλικό.

Ποια είναι η θεραπεία της καρωτιδικής νόσου;

Γιά την αποτελεσματική θεραπεία της καρωτιδικής νόσου ενδείκνυται:
- Αλλαγή του τρόπου ζωής
- Φαρμακευτική θεραπεία
- Αποκατάσταση της αιματικής ροής εάν αυτό είναι απαραίτητο.
Τι σημαίνει αλλαγή του τρόπου ζωής για αντιμετώπιση της καρωτιδικής νόσου;

Άμεση διακοπή του καπνίσματος
Έλεγχος της αρτηριακής πιέσεως
Έλεγχος του σακχαρώδους διαβήτη
Συχνός περιοδικός έλεγχος από τον γιατρό σας
Έλεγχος της χοληστερόλης και των λιπιδίων και φαρμακευτική αγωγή εάν κρίνεται απαραίτητο.

Ανάκτηση και διατήρηση φυσιολογικού σωματικού βάρους
Υγιεινή διατροφή
Σωματική άσκηση τουλάχιστον 30 λεπτά την ημέρα
Περιορισμός του αλκοόλ σε 1 ποτό ημερησίως γιά τις γυναίκες και 2 ποτά γιά τους άνδρες.
Ποια φάρμακα μπορεί να ελαττώσουν τον κίνδυνο για ΑΕΕ;

Ο γιατρός σας μπορεί να συστήσει ασπιρίνη και κλοπιδογρέλη (Plavix) ώστε να ελαττώσει τον κίνδυνο γιά εγκεφαλικό από θρόμβους αίματος που συσσωρρεύονται στην καρωτιδική πλάκα.
Επίσης φάρμακα που ελαττώνουν την αρτηριακή πίεση και την υπερλιπιδαιμία (στατίνες) μπορούν να σταθεροποιήσουν την ασταθή πλάκα.

Με ποιο τρόπο αντιμετωπίζεται η καρωτιδική στένωση;

Εάν υπάρχει σοβαρή στένωση της καρωτίδας, τότε πρέπει να γίνει επέμβαση ώστε να αποκατασταθεί το εύρος του αυλού. Αυτό θα έχει ως αποτέλεσμα την αύξηση της ροής του αίματος προς τον εγκέφαλο και την ελάττωση του κινδύνου γιά εγκεφαλικό. Υπάρχουν δύο μέθοδοι:
- Αγγειοπλαστική και τοποθέτηση στέντ (stent): είναι λιγότερο επεμβατική μέθοδος και γίνεται στον αγγειογράφο. Με την μέθοδο του καρωτιδικού stent, με τοπική αναισθησία, γίνεται μία πολύ μικρή τομή στην βουβωνική περιοχή. Ένας ειδικά σχεδιασμένος καθετήρας προωθείται μέχρι την στένωση της καρωτίδας. (Βίντεο: https://youtu.be/Tu8U4kI4NVA) Στην συνέχεια προωθούμε διά μέσου της στενώσεως ένα μικρό φίλτρο (σύστημα προστασίας εμβόλων) που τοποθετούμε περιφερικότερα της στενώσεως. Αμἐσως μετά τοποθετούμε κατά μήκος της στενώσεως το αυτο-εκπτυσσόμενο μεταλλικό stent. Στη συνέχεια με την χρησιμοποίηση ενός μικρού μπαλονιού διατείνουμε την στένωση, προκαλώντας ρήξη της αθηρωματικής πλάκας. Αυτή η φάση της διαστολής του stent με μπαλόνι είναι η περισσότερο εμβολογόνος. Εδώ υπογραμμίζεται ο ρόλος του φίλτρου του συστήματος προστασίας που σκοπό έχει την κατακράτηση εμβόλων που τυχόν θα αποσπαστούν από την πλάκα στη φάση της μετα-διαστολής. Μετά την πλήρη διάνοιξη της πλάκας και του stent, αφαιρούμε το μπαλόνι, το φίλτρο προστασίας, και τέλος τον οδηγό καθετήρα. Ο ασθενής σε όλη την διάρκεια της επέμβασης είναι ξύπνιος, χωρίς να πονά, και μετά το τέλος της επέμβασης μεταφέρεται στον θάλαμο γιά παρακολούθηση μέχρι την επόμενη ημέρα όπου και εξέρχεται από το νοσοκομείο.
- Ενδαρτηρεκτομή: είναι εγχείρηση και γίνεται υπό γενική αναισθησία στο χειρουργείο. Αφού γίνει μία τομή στον τράχηλο, στην θέση της στενώσεως. Ακολουθεί προσεκτική ανατομική παρασκευή της καρωτίδας αρτηρίας, η διάνοιξη του τοιχώματος και η αφαίρεση της αθηρωματικής πλάκας. στην συνέχεια γίνεται συρραφή του τοιχώματος της αρτηρίας και της τομής του δέρματος.

Οι κίνδυνοι και το όφελος κάθε μεθόδου εξαρτώνται από παράγοντες όπως η ηλικία, ο βαθμός της στένωσης, εάν η στένωση είναι ασυμπτωματική ή έχει προηγηθεί παροδικό ή μόνιμο εγκεφαλικό.
Ποιες είναι οι ενδείξεις για την αντιμετώπιση της καρωτιδικής νόσου;
Ενδείξεις:
- Συμπτωματικοί ασθενείς με στένωση ≥70% ( Σαφές όφελος στην NASCET)
- Συμπτωματικοί ασθενείς με στένωση ≥50-69% (Οριακό όφελος στην NASCET, μεγαλύτερο όφελος σε άνδρες)
- Ασυμπτωματικοί ασθενείς με στένωση ≥60% (όφελος στατιστικά σημαντικά χαμηλότερο σε σχέση με τους συμπτωματικούς ασθενείς με στένωση ≥70%)
Γενικά, συμπτωματικοί ασθενείς με στένωση ≥50% και υγιείς ασυμπτωματικοί ασθενείς με στένωση ≥60% είναι υποψήφιοι γιά αντιμετώπιση.
Ο βαθμός της στένωσης πρέπει να υπολογίζεται σε όλους τους ασθενείς με τα αγγειογραφικά κριτήρια NASCET, για τα οποία υπάρχουν αντίστοιχα αιμοδυναμικά κριτήρια που υπολογίζονται με το Doppler υπερηχογράφημα (triplex) των αγγείων του τραχήλου.

Εκτός όμως από το βαθμό της στένωσης της καρωτιδικής πλάκας, υπάρχουν και άλλα στοιχεία που συμβάλλουν στην απόφαση για επεμβατική ή μη θεραπεία της καρωτιδικής νόσου αλλά και την επιλογή της μορφής της επεμβατικής θεραπείας:
- τα μορφολογικά στοιχεία της πλάκας (υφή, σύσταση, φλεγμονή, αιμορραγία) και η πιθανή ανίχνευση μικροεμβόλων, στοιχεία που καθορίζουν την σταθερότητα της.

- ο δι-εγχειρητικός κίνδυνος του ασθενούς
- το προσδόκιμο επιβίωσεως του ασθενούς
- το φύλο και η ηλικία
- η συνύπαρξη σοβαρής στένωσης ή πλήρους αποφράξεως της άλλης έσω καρωτίδας
- η μη ανταπόκριση στην φαρμακευτική αγωγή
- σε μεμονωμένες περιπτώσεις επαναλαμβανόμενων εγκεφαλικών από μία καρωτιδική πλάκα <50% στένωση παρά την ενδεδειγμένη φαρμακευτική αγωγή, είναι πιθανόν, με βάση και τα μορφολογικά στοιχεία της πλάκας, να συσταθεί αντιμετώπιση.

Metropolitan Hospital