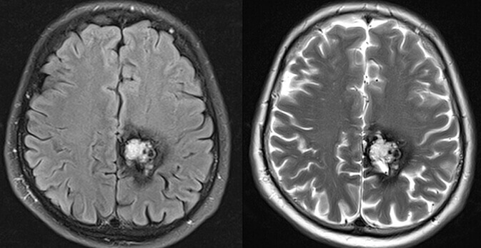
Είναι καλοήθεις δυσπλασίες στο φλεβικό σκέλος, με σηραγγώδεις φλεβικές λιμνάσεις, χωρίς αρτηριοφλεβώδη επικοινωνία. Μπορεί να είναι μονήρεις (σποραδική μορφή) ή πολλαπλές. Στην τελευταία περίπτωση είναι συνήθως οικογενείς και κληρονομούνται κατά τον αυτοσωματικό επικρατούντα χαρακτήρα (χρωμόσωματα 7q21-22(CCM1), 7p13-15(CCM2) και 3q25-27(CCM3)).
Αυξάνονται σε μέγεθος μετά από επεισόδια αιμορραγίας λόγω υποτροπιαζόντων, συρρρεόντων μικροαιματωμάτων που συμβαίνουν σε διαφορετικές χρονικές περιόδους. Εντός της βλάβης διακρίνονται αιμορραγικά στοιχεία σε διαφορετικά χρονικά στάδια (παλαιότερα και πιό πρόσφατα).


Metropolitan Hospital


