Κορίτσι 12 ετών, με ιστορικό λιποθυμικών επεισοδίων.
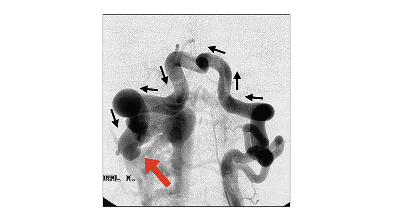
- Εκλεκτική αγγειογραφία της αριστερής σπονδυλικής αρτηρίας σε προσθιοπίσθια λήψη. Παρατηρείται πλήρης υποκλοπή από την βασική αρτηρία που δεν σκιαγραφείται, με αναστροφή της ροής στην δεξιά σπονδυλική αρτηρία (μαύρα βέλη) μέχρι του σημείου της σπονδυλο-σπονδυλικής επικοινωνίας στο ύψος του Α2 διαστήματος (κόκκινο βέλος).
Η φλεβική παροχέτευση γίνεται με διάταση του συστήματος της δεξιάς οπισθίας σφαγίτιδος φλέβας με συμφορηση των παρασπονδυλικών εξωσκληρίδιων φλεβών. - Εκλεκτική αγγειογραφία της αριστερής έσω καρωτίδος αρτηρίας σε προσθιοπίσθια λήψη. Διά μέσου της οπισθίας αναστομωτικής αρτηρίας με αναστροφή της ροής στην βασική αρτηρία (αιχμές μαύρων βελών), και την δεξιά σπονδυλική αρτηρία (μαύρα βέλη), διακρίνεται η σπονδυλο-σπονδυλική επικοινωνία (κόκκινο βέλος). Υπάρχει λόγω αναστροφής της ροής στσπονδυλοβασικό σύστημα, υποκλοπή στην αιμάτωση των στοιχείων του οπισθίου κρανιακού βόθρου.

- Εκλεκτική αγγειογραφία της δεξιάς σπονδυλικής αρτηρίας σε προσθιοπίσθια λήψη. Η δεξιά σπονδυλική αρτηρία είναι υποπλαστική. Διακρίνουμε το αρτηριακό τόξο του οδόντα του Α2 σπονδύλου (αιχμές μαύρων βελών) και ευμεγέθη ριζομυελική αρτηρία που αιματώνει την προσθία νωτιαία αρτηρία στο ύψος του αυχενικού μυελού (μαύρα βέλη). Από την προσθία νωτιαία αρτηρία διά της σπονδυλοβασικής συμβολής, με αναστροφή στην δεξιά σπονδυλική αρτηρία μέχρι το Α2 τμήμα, σκιαγραφείται η επικοινωνία (κόκκινο βέλος).

- Με προσπέλαση από την αριστερή σπονδυλική, αποφράχθηκε με coils το A1–A2 τμήμα της δεξιάς σπονδυλικής αρτηρίας, μαζί με το σημείο της επικοινωνίας. Διακρίνουμε την αποκατάσταση της ορθόδρομης ροής στο σπονδυλοβασικό σύστημα με εξάλειψη της υποκλοπής.


Metropolitan Hospital