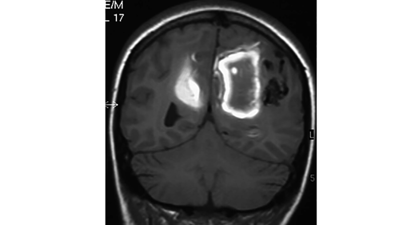
- Μαγνητική τομογραφία σε Τ1 ακολουθία, οβελιαία τομή. Ενδοεγκεφαλικό αιμάτωμα μετά από ρήξη αρτηριοφλεβώδους δυσπλασίας του αριστερού βρεγματικού λοβού σε κορίτσι ηλικίας 15 ετών.

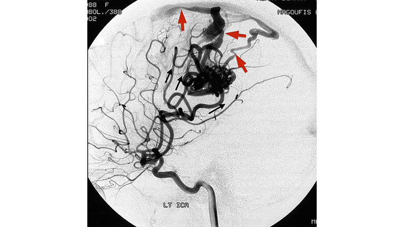
- Πλάγια λήψη εγχύσεως στην αριστερή έσω καρωτίδα. Διακρίνονται οι τρείς κύριοι τροφοφόροι κλάδοι που αρδεύουν της αρτηριοφλεβώδη φωλεά (μαύρα βέλη). Η φλεβική παροχέτευση γίνεται μέσω διατεταμένων βρεγματικών φλεβών προς τον άνω οβελιαίο κόλπο. Βλέπουμε τις εστιακές στενώσεις στο φλεβικό σκέλος που ευθύνονται γιά την αύξηση της πιέσεως μέσα στην φωλεά και γιά την αιμορραγία (κόκκινα βέλη).

- Εκλεκτικός καθετηριασμός και εμβολισμός με κυανοακρυλική κόλλα του μεγαλύτερου οπισθίου τροφοφόρου κλάδου, με ικανοποιητική διείσδυση στην φωλεά.

- Εικόνα μετά τον εμβολισμό του οπισθίου κλάδου.

- Υπερεκλεκτικός καθετηριασμός και εμβολισμός από θέση εντός της φωλεάς, με καλή διείσδυση του εμβολικού υλικού στην φωλεά.

- Πλήρης εξάλειψη της δυσπλασίας. Βλέπουμε την αδιάλειπτη συνέχεια του βρεγματικού κλάδου που φαίνεται μετά την απόφραξη της επικοινωνίας(αιχμές κόκκινων βελών).

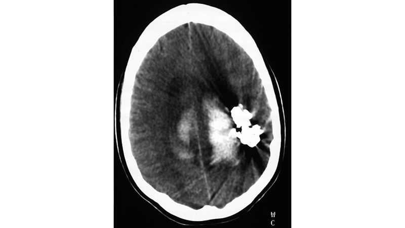
- Αξονική τομογραφία αμέσως μετά τον εμβολισμό. Διακρίνεται το εκμαγείο του εμβολικού υλικού.


Metropolitan Hospital