Εικόνα 1 και 2: Προσθιοπίσθια και πλάγια λήψη εγχύσεως στην αριστερή κοινή καρωτίδα. Εξεσημασμένη αθηρωματική στένωση (>95%) της εκφύσεως και του βολβού της αριστερής έσω καρωτίδος, με ελείμματα πληρώσεως (πρόσφατο θρομβωτικό υλικό). Η ροή υπεράνω της στενώσεως είναι ελαττωμένη και και καθυστερημένη.

01

02
Εικόνα 3 και 4: Προσθιοπίσθια και πλάγια ενδοκράνια λήψη εγχύσεως στην αριστερή κοινή καρωτίδα. Υποτυπώδης ροή μόνο προς την αριστερή μέση εγκεφαλική (έμμεσο στοιχείο κινητοποιήσεως της παράπλευρης κυκλοφορίας από την αντίστοιχη πλευρά).

03

04
Εικόνα 5: Έγχυση στην δεξιά κοινή καρωτίδα. Εκτεταμένη αθηρωματική πλάκα του βολβού της δεξιάς έσω καρωτίδος, προκαλεί συγκεντρική στένωση 80-90%, χωρίς εξέλκωση.

05

Εικόνα 6: Προσθιοπίσθια ενδοκράνια λήψη εγχύσεως στην δεξιά κοινή καρωτίδα. Κίνητοποίηση της παράπλευρης κυκλοφορίας διά μέσου της προσθίας αναστομωτικής αρτηρίας με άρδρευση πλήρως της αριστερής πρόσθιας εγκεφαλικής και συμμετοχή στην άρδρευση της αριστερής μέσης εγκεφαλικής αρτηρίας.

06

Εικόνα 7: Παρότι η αριστερή πλευρά είναι συμπτωματική, η παρουσία προσφάτων θρόμβων στον αριστερό καρωτιδικό βολβό αποτελεί αντένδειξη άμεσης αντιμετώπισης. Αποφασίσθηκε να τεθεί ο ασθενής σε θεραπευτικά επίπεδα αντιπηκτικής αγωγής με ηπαρίνη. Ταυτόχρονα, αντιμετωπίσθηκε πρώτα η δεξιά καρωτιδική στένωση με τοποθέτηση stent τύπου closed-cell με σύστημα προστασίας εμβόλων Spider.

07

Εικόνα 8 και 9: Έγχυση στην αριστερή κοινή καρωτίδα, μία εβδομάδα αργότερα υπό αντιπηκτική και αντιαιμοπεταλιακή αγωγή. Βλέπουμε βελτίωση της εικόνας στον αριστερό καρωτιδικό διχασμό. Συγκεκριμένα φαίνεται απορρόφηση των θρομβωτικών στοιχείων, με ελαφρά βελτίωση της ροής προς την μέση εγκεφαλική. 

08

09

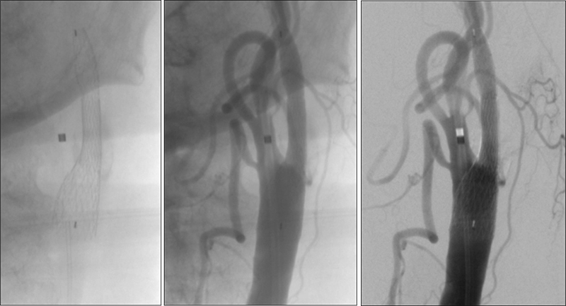
Εικόνα 10: Τοποθέτηση του εγγύς συστήματος προστασίας MOMA με διάταση του περιφερικού μπαλονιού στην αρχή της αριστερής έσω καρωτίδος.

10

Εικόνα 11: Αποκατάσταση της στενώσεως του αριστερού καρωτιδικού βολβού με  τοποθέτηση stent τύπου closed-cell.

11

Εικόνα 12 και 13: Κατά την ενδοκράνια προσθιοπίσθια και πλάγια προβολή της αριστερής κοινής καρωτίδος μετά την επέμβαση, παρατηρείται σημαντική αιμοδυναμική βελτίωση με αναστροφή της ροής στην αριστερή πρόσθια εγκεφαλική αρτηρία που είναι πλέον ομόδρομη.

12

13

Αρχικη
Ο Ιατρος
Βιογραφικό Ιατρού
Επιστημονικές Συνεργασίες
Ενδαγγειακες Επεμβασεις
Οξύ Ισχαιμικό Εγκεφαλικό
Υπάρχει θεραπεία για το εγκεφαλικό;
Πώς θα καταλάβω ότι έπαθα εγκεφαλικό;
Τι πρέπει να κάνω αμέσως μόλις υποψιαστώ εγκεφαλικό;
Υπάρχουν προειδοποιητικά σημεία για το εγκεφαλικό;
Τί είναι η Μηχανική Θρομβεκτομή;
Ιστορική εξέλιξη και επιστημονική τεκμηρίωση γιά την Μηχανική Θρομβεκτομή
Αγγειοπλαστική Αγγείων Τραχήλου
Στένωση καρωτίδων αρτηριών και εγκεφαλικό
Αγγειοπλαστική και Stenting καρωτιδικής στενώσεως
Αγγειπλαστική και Stenting συμπτωματικής στενώσεως έσω καρωτίδος με εγγύς σύστημα προστασίας (Σύστημα MOMA)
Ανευρύσματα Εγκεφάλου
Τι είναι το ανεύρυσμα εγκεφάλου;
Υπάρχουν προειδοποιητικά συμπτώματα - σημεία για τα ανευρύσματα εγκεφάλου;
Μη ραγέντα ανευρύσματα εγκεφάλου
Ραγέντα ανευρύσματα εγκεφάλου
Ενδαγγειακή θεραπεία των ενδοκρανιών ανευρυσμάτων εγκεφάλου
Σε τυχαίο έλεγχο βρέθηκε ένα ανεύρυσμα εγκεφάλου. Τι πρέπει να κάνω; Διαχέιριση των μη ραγέντων ανευρυσμάτων εγκεφάλου
Αρτηριοφλεβώδεις Δυσπλασίες Εγκεφάλου
Ενδαγγειακή θεραπεία αρτηριοφλεβώδων δυσπλασιών εγκεφάλου
Ενδαγγειακή θεραπεία μηνιγγικών αρτηριοφλεβώδων δυσπλασιών εγκεφάλου
Αγγειακές Παθήσεις Κεφαλής-Τραχήλου
Αγγειακές Παθήσεις Νωτιαίου Μυελού
Τι είναι οι αρτηριοφλεβώδεις επικοινωνίες του νωτιαίου μυελού
Τι είναι οι μηνιγγικές αρτηριοφλεβώδεις επικοινωνίες του νωτιαίου μυελού
Αρτηριοφλεβώδεις Επικοινωνίες παρά τη Νωτιαία Χορδή
Τι είναι οι αρτηριοφλεβώδεις επικοινωνίες της νώτιαιας χορδής;
Σπονδυλό - σπονδυλικές επικοινωνίες
Καρωτιδό - σηραγγώδεις επικοινωνίες
Εμβολισμός Όγκων
Εμβολισμός μηνιγγιωμάτων
Άλλοι ενδοκράνιοι όγκοι
Εξωκράνιοι όγκοι
Όγκοι σπονδυλικής στήλης
Τεχνική εμβολισμού των όγκων
Θρόμβωση Φλεβωδών Κόλπων Εγκεφάλου
Αγγειακές Παθήσεις σε Νεογνά - Παιδιά
Παθογένεια των αγγειακών νόσων
Ανευρισματική δυσπλασία της φλέβας του γαληνού
Δυσπλασία των φλεβωδών κόλπων της σκληράς μήνιγγας
Αρτηριοφλεβώδεις δυσπλασίες εγκεφάλου στα παιδιά
Αρτηριοφλεβώδεις φίστουλες σε παιδιά
Φλεβικό αγγείωμα ή αναπτυξιακού τύπου φλεβική ανωμαλία
Φλεβικές δυσπλασίες ή σηραγγώδη αιμαγγειώματα (Cavernomas)
Σύνδρομο Phases
Περιστατικα
Ενημερωση
Ιατρικά Άρθρα
Ιατρικά Νέα
Συνέδρια
Επικοινωνια

Βιογραφικό Ιατρού

Ο ιατρός Γεώργιος Μαγκούφης MD, PhD είναι Επεμβατικός Ακτινολόγος με εξειδίκευση στην Επεμβατική Νευροακτινολογία..

Περισσότερα

Επικοινωνία

White Metropolitan Logo

Τ: 210 4809 887

Δ: Εθν. Μακαρίου 9 & Ελ. Βενιζέλου 1 Ν. Φάληρο