Εικόνα 1: Αγγειογραφία της αριστερής έσω καρωτίδος: Ραγέν ανεύρυσμα της προσθίας αναστομωτικής αρτηρίας.

Εικόνα 2: Έγινε εμβολισμός του ανευρύσματος στην οξεία φάση με coils. Στην τελική αγγειογραφία, φαίνεται η πλήρης απόφραξη του ανευρυσματικού σάκκου. Διακρίνουμε όμως και την απόφραξη του Μ1 της αριστεής μέσης εγκεφαλικής αρτηρίας, από θρόμβο που πιθανότατα αποσπάστηκε από την αυχενική έσω καρωτίδα κατά τους χειρισμούς (σημειωτέον ότι η επέμβαση έγινε χωρίς ηπαρίνη επειδή το ανεύρυσμα ήταν ραγέν.

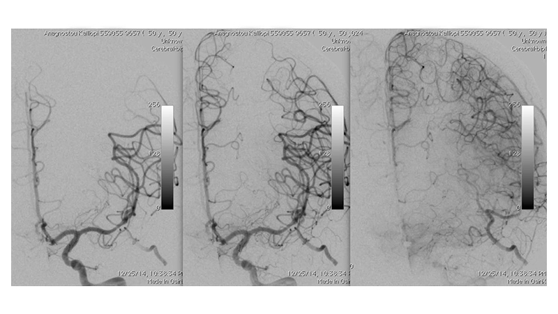
Εικόνα 3: Αγγειογραφία της αριστερής έσω καρωτίδος σε προσθιοπίσθια και πλάγια προβολή: Διακρίνεται η απόφραξη του τέλους του Μ1 τμήματος της μέσης εγκεφαλικής αρτηρίας.

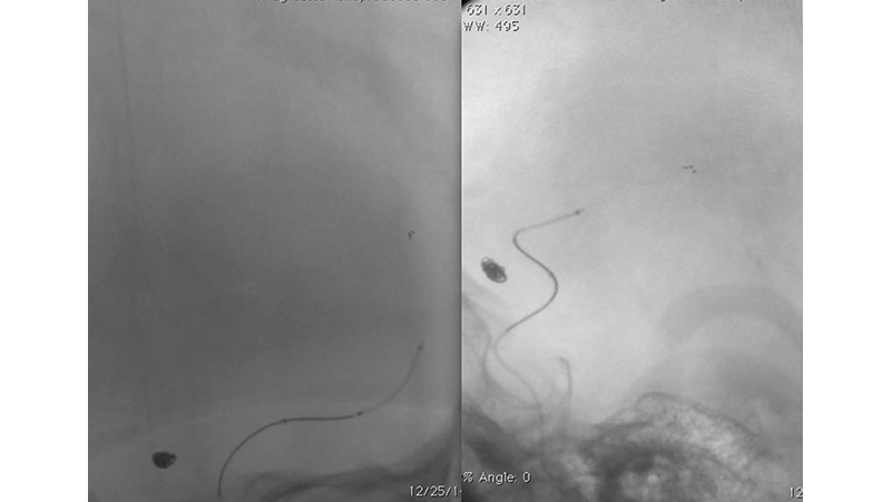
Εικόνα 4: Διέλευση με μικροκαθετήρα της αποφράξεως και τοποθέτηση του μικροκαθετήρα στο βάθος του Μ2.

Εικόνα 5: Έκπτυξη stent retriever κατά μήκος του αποφράσσοντος θρόμβου.

Εικόνα 6, 7: πλήρης αποκατάσταση της ροής και επανακαναλοποίηση της μέσης εγκεφαλικής αρτηρίας μέσα σε 20 λεπτά, χωρίς κλινικές επιπτώσεις.



Metropolitan Hospital