Πρόκειται γιά υπερτασικό ασθενή με ισχαιμικό ΑΕΕ προ 6μήνου λόγω κολπικής μαρμαρυγής, ο οποίος πρέπει να τεθεί σε αντιπηκτική αγωγή.
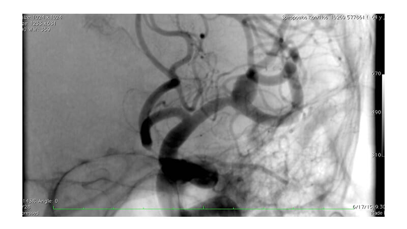
Εικόνα 1: Αγγειογραφία της αριστερής έσω καρωτίδος: Διακρίνεται μη ραγέν ανεύρυσμα του διχασμού της αριστερής μέσης εγκεφαλικής αρτηρίας.

Από την βάση του ανευρυσματικού σάκκου φαίνεται να εκφύεται μετωπιαίος κλάδος. Αμέσως πριν το ανεύρυσμα, στο τελικό Μ1 τμήμα, ελέγχεται τοπική στένωση της μέσης εγκεφαλικής αρτηρίας.
Εικόνα 2: Τρισδιάσταση ανασύνθεση εικόνων περιστροφικής ψηφιακής αγγειογραφίας. Φαίνεται ότι από την βάση του ανευρυσματικού σάκκου εκφύεται μετωπιαίος κλάδος. Η πλήρης απόφραξη του ανευρύσματος θα οδηγήσει σε απόφραξη του μετωπιαίου κλάδου. Αμέσως πριν το ανεύρυσμα, στο τελικό Μ1 τμήμα, διακρίνεται η τοπική στένωση της μέσης εγκεφαλικής αρτηρίας.

Εικόνα 3, 4: Τοποθέτηση flow diverter stent έμπροσθεν του αυχένα του ανευρύσματος (Pipeline, eV3).

Βλέπουμε την αποκατάσταση της στενώσεως του Μ1 τμήματος.

Εικόνα 5: Αγγειογραφία της αριστερής έσω καρωτίδος 6 μήνες μετά: φαίνεται σημαντική ελάττωση του μεγέθους του ανευρύσματος, ενώ έχει διατηρηθεί η βατότητα του κλάδου που εκφύεται από το ανεύρυσμα.

Εικόνα 6: Τα ίδια ευρήματα σε τρισδιάσταση ανασύνθεση εικόνων περιστροφικής ψηφιακής αγγειογραφίας.


Metropolitan Hospital