Ασθενής άνδρας ηλικίας 45 ετών, με επίμονη έντονη θωρακαλγία στην κατανομή του Θ3 μεσοπλευρίου νεύρου, χωρίς εστιακή νευρολογική σημειολογία.

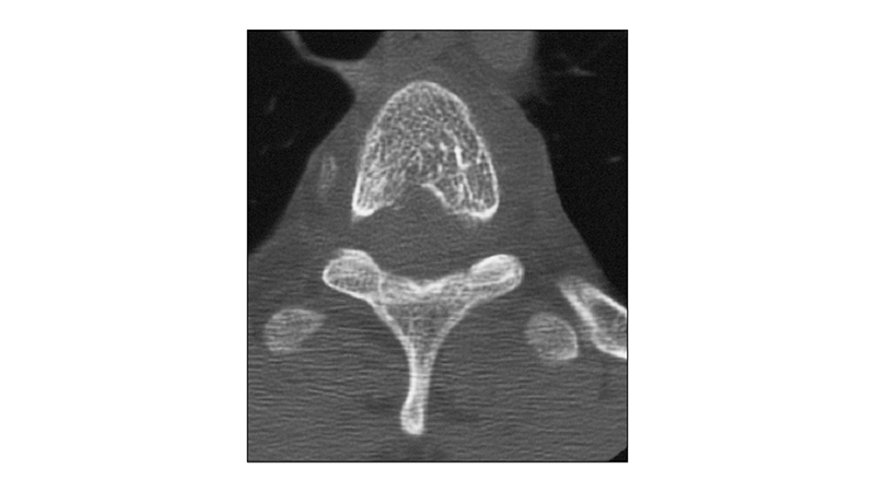
Εικόνα 1: Αξονική τομογραφία, λεπτές τομές στο επίπεδο του Θ3 σπονδύλου: Εικόνα οστικής αραίωσης με έντονες δοκιδώσεις του σώματος του Θ3, εικόνα χαρακτηριστική αιμαγγειώματος σπονδύλου. Το οστικό όριο του σπονδύλου διατηρείται.

peristatiko aimaggeiwmatos spondulikhs sthlhs.001 

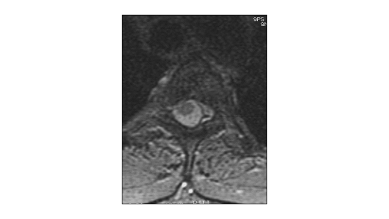
Εικόνα 2: Μαγνητική τομογραφία, με σκιαγραφικό, στο επίπεδο του Θ3 σπονδύλου: Το αιμαγγείωμα παρουσιάζει έντονη χαρακτηριστική πρόσληψη μετά τη χορήγηση σκαιγραφικού, με παρασπονδυλική επέκταση. Επεκτείνεται επίσης προς τα πίσω ενδοκαναλικά με παρεκτόπιση του μυελού και πλάγια προς τα πλάγια σπονδυλικά τρήματα κυρίως αριστερά, πιέζοντας την σύστοιχη νωτιαία ρίζα.

peristatiko aimaggeiwmatos spondulikhs sthlhs.002

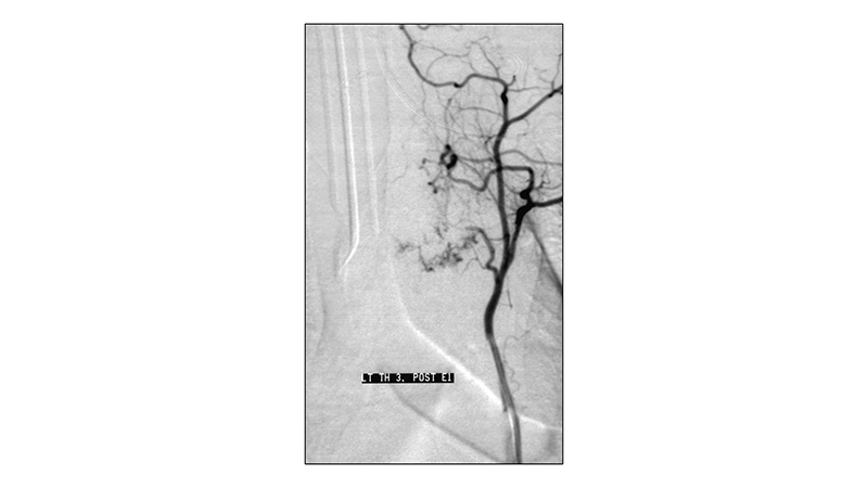
Εικόνα 3: Αγγειογραφία της αριστερής Θ3 μεσοπλευρίου αρτηρίας, σε προσθιοπίσθια προβολή, με άρδευση του κεντρικού και αριστερού πλαγίου τμήματος του όγκου.

peristatiko aimaggeiwmatos spondulikhs sthlhs.003

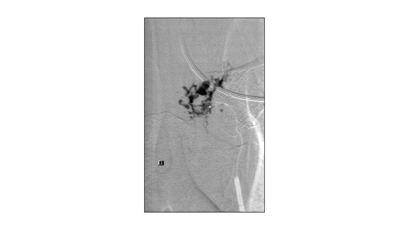
Εικόνα 4: Υπερεκλεκτικός καθετηριασμός του τροφοφόρου κλάδου που αιματώνει το σπονδυλικό σώμα.

peristatiko aimaggeiwmatos spondulikhs sthlhs.004

Εικόνα 5: Ακολουθεί εμβολισμός με κυανοακρυλική κόλλα, με ικανοποιητική διείσδυση στο τριχοειδικό δίκτυο.

peristatiko aimaggeiwmatos spondulikhs sthlhs.005

Εικόνα 6: Στην τελική αγγειογραφία της αριστερής Θ3 μεσοπλευρίου αρτηρίας μετά τον εμβολισμό, ελέγχεται η απόφραξη του τροφοφόρου κλάδου. Παραμένει μικρή τριχοειδική αιμάτωση της περιφέρειας του όγκου.

peristatiko aimaggeiwmatos spondulikhs sthlhs.006

Εικόνα 7: Αξονική τομογραφία, στο επίπεδο του Θ3 μετά τον εμβολισμό: Διακρίνεται το εκμαγείο της κυανοακρυλικής κόλλας.

peristatiko aimaggeiwmatos spondulikhs sthlhs.007

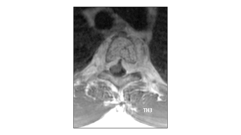
Εικόνα 8: Μαγνητική τομογραφία, με σκιαγραφικό, στο επίπεδο του Θ3, αμέσως μετά τον εμβολισμό: Το αιμαγγείωμα παρουσιάζει σημαντική συρρίκνωση της εξωσωματικής επεκτάσεως του. Η επέκταση προς τα πίσω ενδοκαναλικά έχει βελτιωθεί σημαντικά. Το ίδιο και πλάγια προς τα πλάγια σπονδυλικά τρήματα.

peristatiko aimaggeiwmatos spondulikhs sthlhs.008

Ο ασθενής αμέσως μετά την ανάνηψη από την γενική αναισθησία ανέφερε εξάλειψη της θωρακαλγίας.

Αρχικη
Ο Ιατρος
Βιογραφικό Ιατρού
Επιστημονικές Συνεργασίες
Ενδαγγειακες Επεμβασεις
Οξύ Ισχαιμικό Εγκεφαλικό
Υπάρχει θεραπεία για το εγκεφαλικό;
Πώς θα καταλάβω ότι έπαθα εγκεφαλικό;
Τι πρέπει να κάνω αμέσως μόλις υποψιαστώ εγκεφαλικό;
Υπάρχουν προειδοποιητικά σημεία για το εγκεφαλικό;
Τί είναι η Μηχανική Θρομβεκτομή;
Ιστορική εξέλιξη και επιστημονική τεκμηρίωση γιά την Μηχανική Θρομβεκτομή
Αγγειοπλαστική Αγγείων Τραχήλου
Στένωση καρωτίδων αρτηριών και εγκεφαλικό
Αγγειοπλαστική και Stenting καρωτιδικής στενώσεως
Αγγειπλαστική και Stenting συμπτωματικής στενώσεως έσω καρωτίδος με εγγύς σύστημα προστασίας (Σύστημα MOMA)
Ανευρύσματα Εγκεφάλου
Τι είναι το ανεύρυσμα εγκεφάλου;
Υπάρχουν προειδοποιητικά συμπτώματα - σημεία για τα ανευρύσματα εγκεφάλου;
Μη ραγέντα ανευρύσματα εγκεφάλου
Ραγέντα ανευρύσματα εγκεφάλου
Ενδαγγειακή θεραπεία των ενδοκρανιών ανευρυσμάτων εγκεφάλου
Σε τυχαίο έλεγχο βρέθηκε ένα ανεύρυσμα εγκεφάλου. Τι πρέπει να κάνω; Διαχέιριση των μη ραγέντων ανευρυσμάτων εγκεφάλου
Αρτηριοφλεβώδεις Δυσπλασίες Εγκεφάλου
Ενδαγγειακή θεραπεία αρτηριοφλεβώδων δυσπλασιών εγκεφάλου
Ενδαγγειακή θεραπεία μηνιγγικών αρτηριοφλεβώδων δυσπλασιών εγκεφάλου
Αγγειακές Παθήσεις Κεφαλής-Τραχήλου
Αγγειακές Παθήσεις Νωτιαίου Μυελού
Τι είναι οι αρτηριοφλεβώδεις επικοινωνίες του νωτιαίου μυελού
Τι είναι οι μηνιγγικές αρτηριοφλεβώδεις επικοινωνίες του νωτιαίου μυελού
Αρτηριοφλεβώδεις Επικοινωνίες παρά τη Νωτιαία Χορδή
Τι είναι οι αρτηριοφλεβώδεις επικοινωνίες της νώτιαιας χορδής;
Σπονδυλό - σπονδυλικές επικοινωνίες
Καρωτιδό - σηραγγώδεις επικοινωνίες
Εμβολισμός Όγκων
Εμβολισμός μηνιγγιωμάτων
Άλλοι ενδοκράνιοι όγκοι
Εξωκράνιοι όγκοι
Όγκοι σπονδυλικής στήλης
Τεχνική εμβολισμού των όγκων
Θρόμβωση Φλεβωδών Κόλπων Εγκεφάλου
Αγγειακές Παθήσεις σε Νεογνά - Παιδιά
Παθογένεια των αγγειακών νόσων
Ανευρισματική δυσπλασία της φλέβας του γαληνού
Δυσπλασία των φλεβωδών κόλπων της σκληράς μήνιγγας
Αρτηριοφλεβώδεις δυσπλασίες εγκεφάλου στα παιδιά
Αρτηριοφλεβώδεις φίστουλες σε παιδιά
Φλεβικό αγγείωμα ή αναπτυξιακού τύπου φλεβική ανωμαλία
Φλεβικές δυσπλασίες ή σηραγγώδη αιμαγγειώματα (Cavernomas)
Σύνδρομο Phases
Περιστατικα
Ενημερωση
Ιατρικά Άρθρα
Ιατρικά Νέα
Συνέδρια
Επικοινωνια

Βιογραφικό Ιατρού

Ο ιατρός Γεώργιος Μαγκούφης MD, PhD είναι Επεμβατικός Ακτινολόγος με εξειδίκευση στην Επεμβατική Νευροακτινολογία..

Περισσότερα

Επικοινωνία

White Metropolitan Logo

Τ: 210 4809 887

Δ: Εθν. Μακαρίου 9 & Ελ. Βενιζέλου 1 Ν. Φάληρο