Ανεύρυσμα είναι η εντοπισμένη διάταση του τοιχώματος ενός αγγείου, που φουσκώνει σαν ένα λεπτό μπαλόνι.
Tά ενδοκράνια ανευρύσματα συμβαίνουν συνήθως στα σημεία διχασμού των αρτηριών, κατά την υπαραχνοειδή πορεία τους γύρω το εξάγωνο του Willis.
Παρουσιάζουν λεπτό τοίχωμα όπου χαρακτηριστικά απουσιάζει ο μέσος χιτώνας.

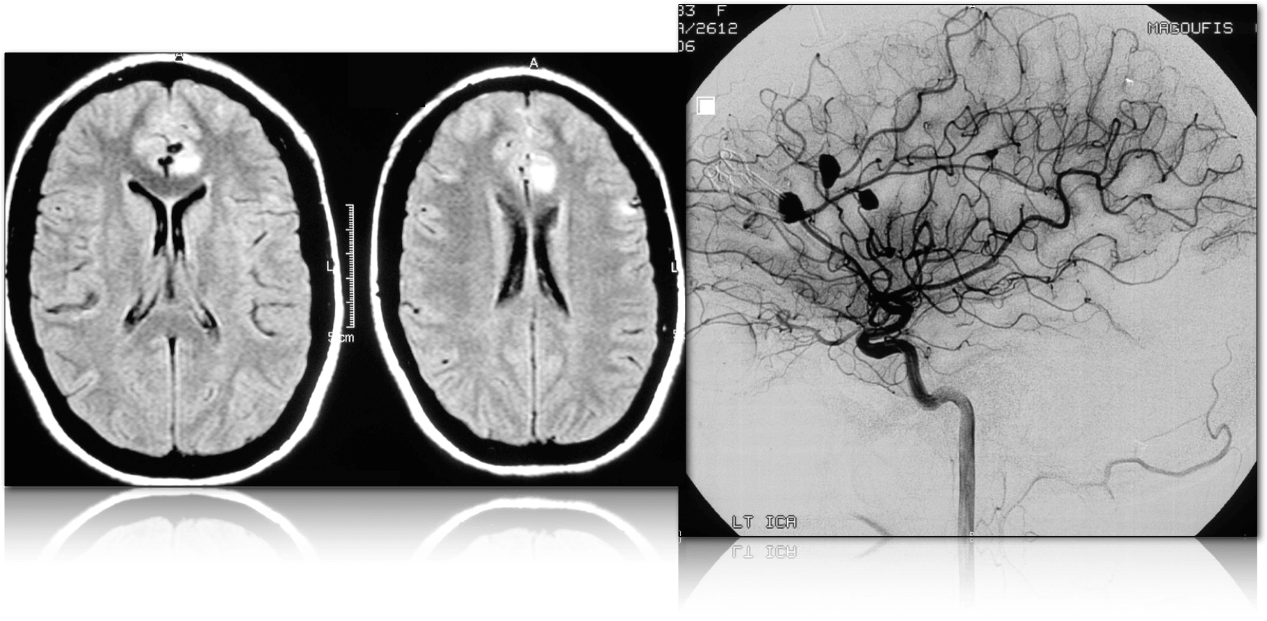
Το 90% των ανευρυσμάτων εντοπίζονται στην πρόσθια κυκλοφορία. Ως προς το μέγεθος, 66% είναι μικρότερα από 5 χιλιοστά, 27% μεταξύ 5-9 χιλιοστών και σε ποσοστό 7% περίπου μεγαλύτερα από 10 χιλιοστά.
Ταξινομούνται με βάση την μορφολογία τους σε σακοειδή και ατρακτοειδή. Tα σακκοειδή είναι τα συχνότερα (80-90%) περιλαμβάνουν τμήμα της περιφέρειας της αρτηρίας με την οποία επικοινωνούν με τον αυχένα, ενώ στά ατρακτοειδή που είναι σπανιώτερα, συμμετέχει ολόκληρη η περιφέρεια της αρτηρίας και δεν έχουν αυχένα.

Υπάρχουν επίσης τα μυκωτικά ή φλεγμονώδη ανευρύσματα που είναι συχνά σε ασθενείς με λοιμώδη ενδοκαρδίτιδα και άτομα που κάνουν χρήση ναρκωτικών ουσιών. Τυπικά δημιουργούνται περιφερικότερα του εξαγώνου του Willis, συνήθως είναι πολλαπλά και αντιμετωπίζονται συντηρητικά με αντιβιοτικά και φαρμακευτική αγωγή. Ο εμβολισμός αποτελεί αντένδειξη.

Η επίπτωση των ανευρυσμάτων εγκεφάλου στον γενικό πληθυσμό είναι 2-5%.
Εφόσον υπάρχει οικογενειακό ιστορικό το ποσοστό ανεβαίνει στο 9.5%.

Metropolitan Hospital