Εδώ πρόκειται γιά αγόρι ηλικίας 2 ετών που γεννήθηκε με φυσιολογικό τοκετό, χωρίς καρδιακή ανεπάρκεια, με προοδευτική αύξηση της περιμέτρου του κρανίου (μακροκρανία).
Μετά το πρώτο έτος παρουσίασε προοδευτικά υστέρηση της αναπτύξεως. Το τελευταίο διάστημα παρουσίασε επεισόδια ημιπληγίας που διαρκούσαν γιά λίγες ώρες. Κατά την εισαγωγή του παρουσιάζει αδυναμία ορθοστατήσεως, με χαλαρή παράλυση των άνω και κάτω άκρων.
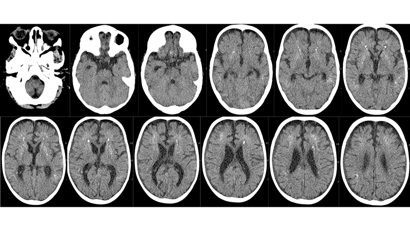
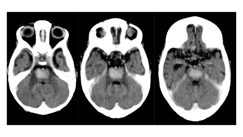
- Στην αξονική τομογραφία πρό μηνός, βλέπουμε υποφλοιώδεις και υποεπενδυματικές μικροαποτιτανώσεις αποτέλεσμα μικροϊσχαιμικών αλλοιώσεων εξαιτίας της φλεβικής υπερτάσεως. Συνυπάρχει αρχόμενη διάταση των κοιλιών.

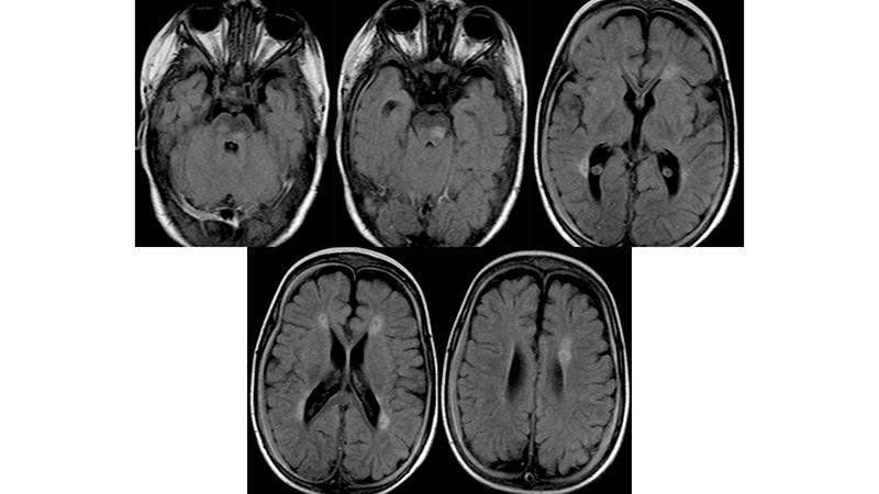
- Στην μαγνητική τομογραφία βλέπουμε μικροισχαιμικές αλλοιώσεις στο εγκεφαλικό στέλεχος και υποεπενδυματικά,

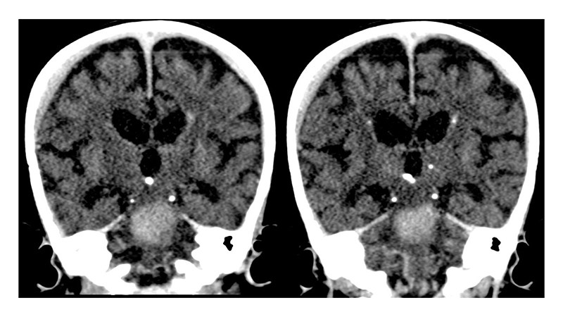
- και υποσκληρίδια αιματώματα αμφοτερόπλευρα, κυρίως δεξιά.

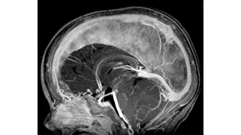
- Στην μαγνητική αγγειογραφία βλέπουμε υποσκληρίδιο αιμάτωμα στο δρέπανο

- και οπισθιοπλάγιους τροφοφόρους κλάδους από τις οπίσθιες εγκεφαλικές αρτηρίες.

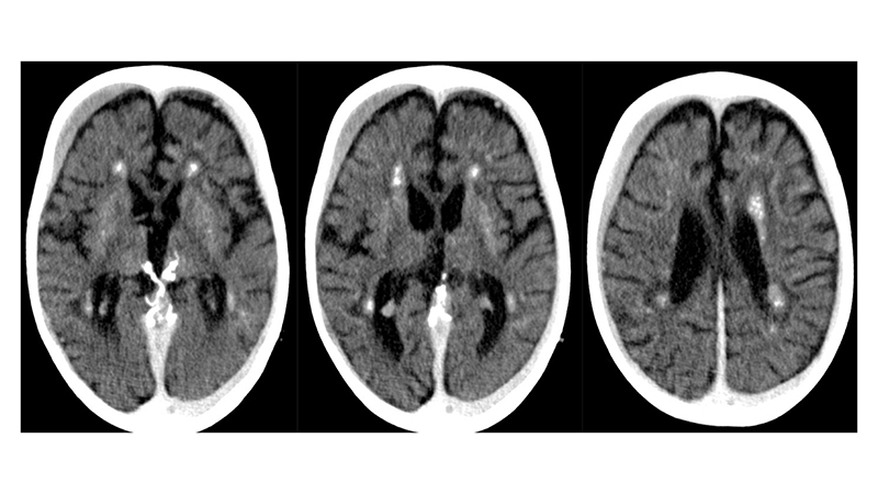
- Στην αξονική τομογραφία εισαγωγής του, μετά σκιαγραφικό βλέπουμε επέκταση των μικροϊσχαιμικών αλλοιώσεων στο εγκεφαλικό στέλεχος με πρόσληψη σκιαγραφικού,

- ενώ φαίνονται και αμφοτερόπλευρα υποσκληρίδια αιματώματα στην κυρτότητα των ημισφαιρίων, κυρίως δεξιά,

- παρομοίως υποφλοιώδεις και υποεπενδυματικές μικροαποτιτανώσεις υπερσκηνιδιακά και υποσκληρίδια αιματώματα.

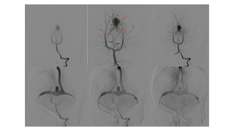
- Προσθιοπίσθια λήψη κατά την έγχυση στην δεξιά έσω καρωτίδα. Η αρτηριοφλεβώδης επικοινωνία της φλέβας του Γαληνού σκιαγραφείται από παλινδρόμηση στην δεξιά υποκλείδιο και σπονδυλική αρτηρία. Η φλεβική παροχέτευση του δεξιού εγκεφαλικού ημισφαιρίου γίνεται πολύ καθυστερημένα, λόγω απόφραξης των εγκαρσίων κόλπων αμφοτερόπλευρα (μαύρα βέλη).

- Πλαγία λήψη κατά την έγχυση στην δεξιά έσω καρωτίδα. Υπάρχει εξεσημασμένη φλεβική συμφόρηση του άνω οβελιαίου κόλπου, προς το σύστημα της φλέβας του Troland (μπλέ βέλος), τον σηραγγώδη κόλπο και τό έδαφος του προσθίου κρανιακού βόθρου (μαύρα βέλη) και το πτερυγοειδές πλέγμα.

- Προσθιοπίσθια λήψη κατά την έγχυση στην αριστερή έσω καρωτίδα. Η αρτηριοφλεβώδης επικοινωνία της φλέβας του Γαληνού σκιαγραφείται από την οπίσθια αναστομωτική αρτηρία. Η φλεβική παροχέτευση του αριστερού εγκεφαλικού ημισφαιρίου γίνεται πολύ καθυστερημένα, λόγω απόφραξης των εγκαρσίων κόλπων αμφοτερόπλευρα (μαύρα βέλη).

- Πλαγία λήψη κατά την έγχυση στην αριστερή έσω καρωτίδα. Η φλεβική παροχέτευση της αρτηριοφλεβώδους επικοινωνίας προς το σύστημα του άνω οβελιαίου κόλπου (κόκκινα βέλη) με εξεσημασμένη φλεβική συμφόρηση και κινητοποίηση παράπλευρων διαμυελικών φλεβών προς το σύστημα της επιπολής μέσης εγκεφαλικής φλεβός (μπλέ βέλος) και διά του σφηνοβρεγματικού κόλπου προς τον σηραγγώδη κόλπο ενώ το εν τω βάθει φλεβικό δίκτυο αποχετεύεται μέσω των αναστομώσεων με το σύστημα της εν τω βάθει μέσης εγκεφαλικής φλεβός (διακεκομμένο μπλέ βέλος) προς το σύστημα επίσης του σηραγγώδους κόλπου.

- Προσθιοπίσθια λήψη κατά την έγχυση στην αριστερή σπονδυλική αρτηρία. Ελέγχονται πολλαπλές μικροφίστουλες στο τοίχωμα της φλέβας του Γαληνού και μικρές αρτηριοφλεβώδεις επικοινωνίες στην χοριοειδή σχισμή (μικτού τύπου, τοιχωματικού και χοριοειδούς). Αρδεύονται από υποεπενδυματικούς τροφοφόρους κλάδους, εκ του Ρ1 τμήματος των οπισθίων εγκεφαλικών αρτηριών αμφοτερόπλευρα κυρίως δεξιά, που πορευόμενοι στο πλάγιο τοίχωμα της 3ης κοιλίας εκατέρωθεν, συναντούν την χοριοειδή σχισμή και εκείθεν αρδεύουν την αρτηριοφλεβώδη επικοινωνία (μαύρα βέλη). Επίσης συμμετέχουν οπισθιοπλάγιοι έσω χοριοειδείς (διακεκομμένο κόκκινο βέλος) και οπισθιοπλάγιοι έξω χοριοειδείς κλάδοι (κόκκινο βέλος) από το Ρ2 και Ρ3 τμήματα των οπισθίων εγκεφαλικών αρτηριών αμφοτερόπλευρα, που δια της χοριοειδούς σχισμής καταλήγουν στο οπίσθιο τοίχωμα της φλέβας του Γαληνού. Διακρίνεται επίσης η απόφραξη των εγκαρσίων κόλπων και η αναστροφή της ροής προς το εγκεφαλικό φλεβικό δίκτυο με συμφόρηση των εγκεφαλικών φλεβών.

- Πλαγία λήψη κατά την έγχυση στην αριστερή σπονδυλική αρτηρία. Τροφοφόροι θαλαμοδιατιτραίνοντες (διακεκομμένο μαύρο βέλος) και υποεπενδυματικοί κλάδοι (διακεκομμένο μπλέ βέλος), εκ της οπισθίας αναστομωτικής και του Ρ1 τμήματος των οπισθίων εγκεφαλικών αρτηριών, που πορευόμενοι στο πλάγιο τοίχωμα της 3ης κοιλίας εκατέρωθεν, συναντούν την χοριοειδή σχισμή και εκείθεν αρδεύουν την αρτηριοφλεβώδη επικοινωνία (μαύρα βέλη). Παρατηρείται αναστροφή της ροής στον άνω οβελιαίο κόλπο με φλοιώδη παλινδρόμηση προς τα εγκεφαλικά ημισφαίρια αμφοτερόπλευρα (κόκκινα βέλη). Οι εγκάρσιοι κόλποι αποφράσσονται, και μέσω των περιμεσεγκεφαλικών φλεβών παρατηρείται παροχέτευση προς το περιμυελικό φλεβικό δίκτυο του νωτιαίου μυελού (μπλέ βέλη) το οποίο παρουσιάζει εκσεσημασμένη συμφόρηση αλλά και διά του άνω λιθοειδούς κόλπου προς τον σηραγγώδη κόλπο (μαύρα βέλη).

- Αξονική τομογραφία με σκιαγραφικό και αγγειογραφία του σπονδυλοβασικού συστήματος σε πλάγια λήψη. Διακρίνεται κατιούσα φλεβική παροχέτευση προς το περιμυελικό φλεβικό δίκτυο του νωτιαίου μυελού (μπλέ βέλη) το οποίο παρουσιάζει εκσεσημασμένη συμφόρηση.

- Καθετηριασμός και εμβολισμός με κυανοακρυλική κόλλα θαλαμοδιατιτραινόντων κλάδων.

- Καθετηριασμός και εμβολισμός με κυανοακρυλική κόλλα υποεπενδυματικών κλάδων.

- Καθετηριασμός και εμβολισμός με κυανοακρυλική κόλλα οπισθιοπλαγίων χοριοειδών κλάδων.

- Καθετηριασμός και εμβολισμός με κυανοακρυλική κόλλα οπισθιοπλαγίων χοριοειδών κλάδων.

Το παιδί μετά τον πρώτο εμβολισμό παρουσίασε άμεση κλινική βελτίωση, με πλήρη αποκατάσταση της κινητικότητος του. - Προσθιοπίσθια λήψη κατά την έγχυση στην αριστερή έσω καρωτίδα ένα μήνα μετά την επέμβαση. Παρατηρείται θρόμβωση του ευθέως κόλπου και της περιοχής του Ληνού του Ηροφίλου καθώς και του τελικού τμήματος του άνω οβελιαίου κόλπου και των εγκαρσίων κόλπων. Ο μηχανισμός της θρομβώσεως, αποδίδεται στην σημαντική ελάττωση της ροής μέσα στο φλεβικό αποχετευτικό δίκτυο της φλέβας του Γαληνού και του ευθέως κόλπου που πιθανότατα οδήγησε σε φλεβική στάση και θρόμβωση.

- Πλαγία λήψη κατά την έγχυση στην αριστερή έσω καρωτίδα ένα μήνα μετά την επέμβαση. Παρατηρείται ελάχιστη άρδευση της επικοινωνίας από οπίσθιους χοριοειδείς κλάδους των οπισθίων εγκεφαλικών, καθώς και από θαλαμοδιατιτραίνοντες κλάδους που εκφύεται από το Ρ1 της αριστερής οπισθίας εγκεφαλικής αρτηρίας. Η φλεβική παροχέτευση της επικοινωνίας γίνεται προς την φλέβα του Γαληνού που είναι σημαντικά λιγότερο διατεταμένη, και δια μέσου επιπολής φλεβός της έσω επιφανείας του αριστερού βρεγματικού φλοιού προς τον αποσυμφορημένο πιά άνω οβελιαίο κόλπο. Η φλεβική αποχέτευση του ημισφαιρίου γίνεται προς το σύστημα του αριστερού σηραγγώδους κόλπου, με σημαντική αιμοδυναμική αποσυμφόρηση των ημισφαιρικών φλεβών που πλέον σκιαγραφούνται σε φυσιολογικό χρόνο.

- Προσθιοπίσθια λήψη κατά την έγχυση στην αριστερή σπονδυλική αρτηρία. Επανελέγχεται ελάχιστη υπολειμματική άρδευση της επικοινωνίας από οπίσθιους χοριοειδείς κλάδους των οπισθίων εγκεφαλικών, καθώς και από θαλαμοδιατιτραίνοντες κλάδους που εκφύεται από το Ρ1 της αριστερής οπισθίας εγκεφαλικής αρτηρίας, με θρόμβωση του ευθέως κόλπου και της περιοχής του Ληνού του Ηροφίλου καθώς και του τελικού τμήματος του άνω οβελιαίου κόλπου και των εγκαρσίων κόλπων.

- Πλαγία λήψη κατά την έγχυση στην αριστερή σπονδυλική αρτηρία. Η φλεβική παροχέτευση γίνεται προς την φλέβα του Γαληνού, και διά μέσου επιπολής φλεβός προς την έσω επιφάνεια του αριστερού βρεγματικού λοβού προς τον άνω οβελιαίο κόλπο, κατά την μετάπτωση του μέσου προς οπίσθιο τριτημόριο. Επίσης μέσω υποεπενδυματικών φλεβών που πορεύονται ενδοκοιλιακά αμφοτερόπλευρα και εκβάλλουν διά των άνω λιθοειδικών φλεβών προς το τους εγκαρσίους κόλπους, με πορεία προς τοην περιοχή του Ληνού που φαίνεται να έχει επανασηραγγοποιηθεί. Παρατηρείται αποσυμφόρηση του περιμεσεγκεφαλικού φλεβικού δικτύου με σημαντική ελάττωση της φλεβικής συμφορήσεως περιμεσεγκεφαλικά καθώς και προς τον νωτιαίο μυελό.

Ως αποτέλεσμα της ανωτέρω αιμοδυναμικής μεταβολής και με δεδομένη την ιακνοποιητική κλινική βελτίωση, αποφασίσθηκε να μην γίνει επέμβαση και ο ασθενής να τεθεί υπό χαμηλού μοριακού βάρους ηπαρίνη λόγω της θρομβώσεως των οπισθίων φλεβωδών κόλπων. - Δύο χρόνια αργότερα, υπερεκλεκτικός καθετηριασμός υποεπενδυματικών και χοριοειδών τροφοφόρων κλάδων από το Ρ1, Ρ2 και Ρ3 των οπισθίων εγκεφαλικών αρτηριών.

- Υπερεκλεκτικός καθετηριασμός υποεπενδυματικών και χοριοειδών τροφοφόρων κλάδων από το Ρ1, Ρ2 και Ρ3 των οπισθίων εγκεφαλικών αρτηριών.

- Υπερεκλεκτικός καθετηριασμός υποεπενδυματικών και χοριοειδών τροφοφόρων κλάδων από το Ρ1, Ρ2 και Ρ3 των οπισθίων εγκεφαλικών αρτηριών.

- Υπερεκλεκτικός καθετηριασμός υποεπενδυματικών και χοριοειδών τροφοφόρων κλάδων από το Ρ1, Ρ2 και Ρ3 των οπισθίων εγκεφαλικών αρτηριών.

- Τελική αγγειογραφία επανελέγχου του σπονδυλοβασικού μετά την δεύτερη συνεδρία εμβολισμού. Παραμένουν δύο με τρεις μικροί τροφοφόροι αρτηριακοί θαλαμοδιατιτραίνοντες κλάδοι από το Ρ1 τμήμα της αριστερής οπίσθιας εγκεφαλικής αρτηρίας, που λόγω του πολύ μικρού νεγέθους των θα αντιμετωπισθούν μετά από 2 έτη. Η φλεβική παροχέτευση γίνεται προς την φλέβα του Γαληνού, και διά μέσου επιπολής φλεβός προς την έσω επιφάνεια του αριστερού βρεγματικού λοβού προς τον άνω οβελιαίο κόλπο. Οι εγκάρσιοι κόλποι και ο Ληνός έχουν επανασηραγγοποιηθεί.

- Παρατηρείται πλήρης αποσυμφόρηση του περιμεσεγκεφαλικού φλεβικού δικτύου με σημαντική ελάττωση της φλεβικής συμφορήσεως περιμεσεγκεφαλικά καθώς και προς τον νωτιαίο μυελό.

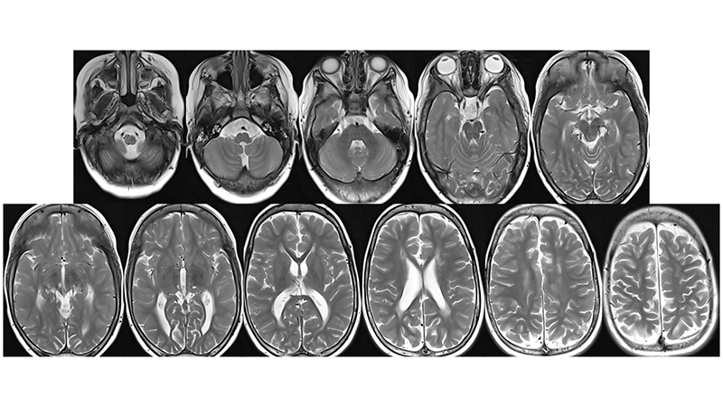
- Πρόσφατη μαγνητική τομογραφία δείχνει αναστροφή των ισχαιμικών αλλοιώσεων του εγκεφαλικού στελέχους, αποκατάσταση του κοιλιακού συστήματος με ήπια υποεπενδυματική και φοιώδη ατροφία και πλήρη εξάλειψη των υποσκληριδίων συλλογών.

Κλινικά το παιδί έχει πλήρη αποκατάσταση της κινητικότητος του και έχει σχεδόν φθάσει το επίπεδο της μαθησιακής και νευρολογικής αναπτύξεως των συνομηλίκων του.

Metropolitan Hospital